Pit-and-Fissure Sealants in Preventive Dentistry

Ellen Nuenfeldt, RDH, BS

October 2014 Course - Expires Tuesday, October 31st, 2017

American Dental Assistants Association

Abstract

A pit-and-fissure sealant is a thin plastic coating of an organic polymer (resin) placed in the pits and fissures of teeth to act as a physical barrier. The sealant bonds to the enamel surface of the tooth so that plaque bacteria cannot colonize within the pits and fissures. The procedure is esthetic, noninvasive and cost-effective for dental patients. Sealants are an integral part of a complete preventive program and a proven component of oral healthcare. For decades, dental professionals have trusted sealants to protect against dental caries. Used in combination with patient education, effective personal oral hygiene, and fluorides, sealants are a major factor in the prevention of dental caries. Dentists, dental hygienists, and dental assistants (in certain states) can place dental sealants. Dental assistants are allowed to place sealants in 38 states, most having specific training and supervision requirements (for additional information, refer to the State Board of Dentistry for each individual state). If a particular state does not allow assistants to apply sealants, the assistant can still play an important role. Assistants must understand the properties of the sealant material, the materials required for setup, and the proper mixing and placement techniques. Patients and parents of pediatric patients need to be informed about the importance and success of sealant application. Sealants are indicated for patients of any age who are at risk for caries. It is also important to keep in mind that the risk status can change over a period of time during both adolescence and adulthood. Because dental assistants can provide education in all states, this is an ideal role for the dental assistant.

You must be signed in to read the rest of this article.

Login Sign Up

Registration on CDEWorld is free. You may also login to CDEWorld with your DentalAegis.com account.

Glossary

acid etchant—in sealant placement, the enamel surface is prepared by the application of phosphoric acid, which etches the surface to provide mechanical retention for the sealant.
amorphous calcium phosphate—a filler material in some sealants, known to release calcium and phosphate ions to the tooth.
articulating paper—an inked ribbon held between the teeth to determine tooth contacts.
autopolymerization—causes the sealant material to harden chemically by mixing an activator with a catalyst.
biocompatibility—the ability to coexist together without harm.
bis-GMA—bisphenol A-glycidyl methylacrylate; plastic material used for dental sealants
bonding (mechanical)—physical adherence of one substance to another; the adherence of a sealant to the enamel surface is accomplished by an acid-etching technique that leaves microspaces between the enamel rods; the sealant becomes mechanically locked (bonded) in these microspaces
bond strength—an expression of the degree of adherence between the tooth surface and the sealant
conditioner—a substance added to another substance to increase its usability; in sealant placement, the acid etchant is added to the enamel to prepare it for bonding with the sealant
curing—the process by which plastic becomes rigid
filled sealant—in addition to Bis-GMA, contains microparticles of glass, quartz, silica, and other fillers used in composite restorations
incipient caries—beginning caries; caries limited to the enamel
in vitro—under laboratory conditions
in vivo—within the living body
micropores—tiny openings
NHANES III—acronym for the National Health and Nutrition Examination Survey, survey is conducted by the National Center for Health Statistics (NCHS), a division of the Centers for Disease Control and Prevention (CDC)
polymer—a compound of high molecular weight formed by a combination of a chain of simpler molecules (monomers)
polymerization—a reaction in which a high molecular weight product is produced by successive additions of a simpler compound
photopolymerization—causes the sealant material to harden by use of a halogen, LED, or plasma light
sealant—organic polymer that bonds to an enamel surface by mechanical retention accommodated by projections of the sealant into micropores created in the enamel by etching; the two types of sealants, filled and unfilled, both are composed of Bis-GMA
viscosity—the resistance to flow or alteration of shape by any substance as a result of molecular cohesion

Clinical Research on Sealants

In the past, numerous preventive innovations were used to combat pit-and-fissure decay. These included physical blocking of the fissures with zinc-phosphate cement, mechanical fissure eradication, prophylactic odontotomy, and chemical treatment with silver nitrate. In 1955, Buonocore pioneered a technique requiring comparatively less intervention—the ability to successfully prevent caries by sealing pits and fissures with a bonded resin material—which was the innovation that led directly to resin sealants.

When the first clinical trials for sealants were being conducted from the 1950s to the 1970s, caries rates were relatively high; 70% of all molar occlusal surfaces became carious within 10 years of emergence into the oral cavity. A high percentage of caries occurred in the first 3 years after eruption. These early caries data supported the Council of Dental Research policy that sealants were a highly beneficial preventive measure and should be applied to molar teeth within 3 or 4 years of eruption.

Since the 1970s, caries rates have changed dramatically. Fewer patients who are seen in dental practices today fall into high-caries-risk groups. Caries activity has decreased in number, intensity, and recurrence on smooth surfaces as well as occlusal surfaces. Data from the early 1990s, which included an analysis by the National Health and Nutrition Examination Survey (NHANES III), showed the concurrent reduction in fissure caries risk. These data are an indication of the dramatic change that has occurred in occlusal surface caries of young patients in the United States. Pit-and-fissure decay accounts for more than 80% to 90% of caries in permanent posterior teeth and 44% in primary teeth of children. The placement of resin-based sealants has been shown to reduce caries by 86% 1 year after placement, and by 58% 4 years after placement.

Sealant Placement in Practice

Sealant use must be based on the patient’s caries risk and the individual teeth being considered for sealants. This risk may change at any time in the life of the patient. Many fissures are at risk immediately at eruption, while others are not. Fissures that are not sealed or restored may become at risk later in life because of changes in a patient’s habits, oral microflora, or physical condition. This understanding of risk-based sealant treatment is not new, but the adaptation into dental practice has been relatively slow.

In determining who should receive a dental sealant, the first step is to assess the caries risk of the patient, and determine if the patient is at low, moderate, or high risk for dental caries. Currently, the best predictors of caries risk are recent caries experience of the patient, deep pits and fissures, poor oral hygiene, family history, low fluoride intake, and poor diet. Other considerations are the patient’s history of preventive care, if he or she is currently in the process of orthodontia, and medical issues such as xerostomia.

Sealants are indicated for patients of any age who are at risk for caries. It is also important to keep in mind that the risk status can change over a period of time during both adolescence and adulthood. Because of erosion or changes in saliva as people age and are more prone to the prolonged use of medications, sealants are indicated to reduce susceptibility to caries.

In addition, the teeth should be assessed individually to determine their risk by identifying the pit-and-fissure morphology of the tooth. If there is no indication of proximal dental caries, yet the contour of the pits and fissures is deep and irregular, then a sealant should be placed. Primary molars should be considered for sealant placement if similar morphology is present.

Once a decision has been made by the dentist to provide a preventive treatment, a sealant can be placed if the tooth is determined to be caries-free. The standard procedure of visual examination and radiographs typically used to make the determination is now being supplemented by new technologies such as fluorescence, transillumination, electrical conductance, and digital radiography.

There are now a number of caries detection devices on the market that practitioners can use as an additional tool in finding and diagnosing caries. The DIAGNOdent (KaVo Dental, www.kavousa.com) uses a 655 nm laser to detect fluorescence in tooth decay; both the Spectra Caries Detection Aid (Air Techniques, www.airtechniques.com) (Figure 1) and the Midwest Caries I.D. (DENTSPLY Professional, www.dentsply.com) use a light-emitting diode directed to the occlusal surfaces to determine demineralization and caries. These and other scientific advances benefit clinicians because, although studies have shown that sealing incipient decay will arrest it, frank occlusal decay should not be sealed, nor should primary teeth that are close to exfoliation.

The occlusal surfaces of first and second permanent molars are regarded as the teeth most susceptible to caries, and therefore the teeth likely to benefit most from sealants. However, any teeth assessed to be at risk can benefit from sealant application. Recent studies suggest that sealants can be placed effectively on buccal and lingual surfaces in pits and along deeper developmental grooves. Adding an intermediate layer of bonding agent primer and adhesive is more advantageous on these surfaces than on occlusal surfaces.

There is often discussion on whether primary teeth should be sealed with the same frequency as permanent teeth. Because permanent teeth are considered to be most at risk for occlusal caries, they have been the focus of most sealant studies. Clinical studies with reports of success on sealing primary molars are rare; however, those that have been published indicate retention success similar to that for sealed permanent molars.

Sealants can be placed on either primary or permanent teeth that are determined to be at risk for pit-and-fissure caries. There are certain conditions under which a sealant would not be recommended, such as the inability to properly isolate and maintain a dry field (if using a resin-based sealant), the presence of decay, pits and fissures that are well coalesced, and any allergies to the sealant material.

Types of Sealants

The criteria for an ideal dental sealant is one that achieves prolonged bonding to the enamel, is biocompatible with the oral tissues, offers a simple application procedure, is of a low-viscosity capable of entering narrow fissures, and has low solubility in the oral environment.

Classification by Method of Polymerization

Sealants can be classified by the method by which they are converted from a liquid state to a solid state. Polymerization is the process by which sealants harden. It can be accomplished by self-curing (autopolymerization), or light-curing (photopolymerization).

Self-curing sealants are provided in two components: a liquid monomer and a catalyst. When the two components are mixed together, they harden (polymerize) within 60 to 90 seconds. Self-curing sealants are sometimes used in community health or school-based programs, because no special equipment is required. However, the vast majority of sealants are light-cured.

Light-curing sealants harden when exposed to a curing light. Early sealants were activated with an ultraviolet light. Today’s sealants are photopolymerized using one of three types of lights: halogen, light-emitting diode, and plasma-arc. The advantages are that no mixing is required, and the working time is increased as a result of the control over the start of polymerization. However, disinfection time is required for the curing light, and protective shields and/or glasses should be used during the procedure for eye protection from the light.

Classification by Sealant Properties

Filled sealants are a combination of resins, chemicals, and fillers. The resins contain monomer and chemicals to hold the filler particles together. The purpose of the filler is to increase bonding strength and resistance to abrasion and wear. Because of the hardness and wear resistance of filled sealants, they must be checked after placement with articulating paper and adjusted with a dental handpiece and bur.

Unfilled sealants have a higher ratio of resin to filler material, and do not need to be adjusted with a dental handpiece; they are in essence self-occluding. Because of the high viscosity (rate of flow) of unfilled sealants, they readily flow into the pits and fissures.

Resin-based sealants, with their characteristics of flow ability and retentiveness, work exceptionally well and serve their function for many years when placed properly. In 2008, the American Dental Association published evidence-based clinical recommendations and stated that resin-based sealants are the first choice of material because of their high retention rates. Their limitation is that the tooth must be properly isolated so that contamination can be avoided throughout the procedure, as moisture contamination can result in failure of the sealant.

Sealants can be clear, tinted, color-changing, or opaque. The addition of color to the sealant material enhances the visibility of the sealant, and aids in monitoring retention. In regard to one type of color-changing sealant, the material goes on pink during the initial placement, but then changes to white after photopolymerization. However, it is important to note that the color of a sealant does not affect the retention value.

Fluoride-releasing sealants are generally referred to as glass-ionomer sealants. Because glass-ionomer material contains slow-release fluoride, it may enhance the caries resistance of the tooth or remineralize an incipient carious lesion at the base of the pit or fissure. Glass ionomers are an alternative to resin-based sealants, and can be considered for use in primary molars having deeply pitted or fissured surfaces that are difficult to isolate. Other viable situations for glass-ionomer sealant placement would be in moist, hard-to-isolate areas of the mouth, permanent first or second molars that are not yet fully erupted, or situations where a “transitional” sealant is needed prior to the future placement of a resin sealant. It is important to note that retention rates are not as comparable to resin-based sealants.

Amorphous Calcium Phosphate (ACP) is a filler material incorporated into some sealants that slowly releases calcium and phosphate ions into the tooth structure. ACP acts as a replenishing source for lost calcium and phosphate ions and has been shown to stimulate remineralization of tooth structure by enhancing the tooth’s natural repair system.

Resin-based sealants are the most effective materials for pit-and-fissure sealants because of their demonstrated superior bond strength and retention.

Procedure for Sealant Placement

Isolation of the Operating Field

The isolation of the working field is essential for moisture control and operator visibility during placement of the sealant. Methods of isolation include, but are not limited to:

1. Dental Dam and Saliva Ejector

The most effective way to achieve ideal isolation is to use a dental dam (Figure 2) and saliva ejector. It is the best method to achieve optimum moisture control and visibility. It ensures isolation from start to finish for a clinician placing a sealant without assistance. A saliva ejector may be used throughout the procedure or as needed. Disadvantages include the inability to place a secure clamp on a partially erupted tooth, as well as discomfort during clamp placement, which may result in the need for anesthesia.

2. Cotton Rolls, Dri-Angle®, and Saliva Ejector

Cotton roll isolation may be accomplished with or without cotton roll holders. However, the possibility of moisture contamination is a key disadvantage without the use of an assistant. This method is more acceptable if used in a situation where four-handed dentistry is performed.

The use of a moisture-control patch over the opening of the parotid gland is helpful in keeping saliva under control. While there are a number of patches on the market, Dri-Angle® (Dental Health Products, www.dhpinc.com) is unique in that it is a thin, absorbent, cellulose triangle offered in two types: plain and silver-coated. The silver coating on one side acts as a complete moisture barrier for those patients with heavy salivation.

With this specific method of isolation, it is necessary to use a saliva ejector throughout the entire procedure. Otherwise, moisture contamination may result in inadequate retention and potential failure of the sealant.

3. Isolite® System

The Isolite (Isolite Systems, www.isolitesystems.com) (Figure 3) is a unique tool that delivers continuous illumination, aspiration, and retraction all in one easy-to-use, time-saving device. It makes isolation easy, and provides uninterrupted access to the patient. Features of the system are simultaneous isolation of the maxillary and mandibular quadrants, retraction and protection of the tongue and cheek, bright illumination of the oral cavity, aspiration of fluids and oral debris, and blocking of the throat to prevent inadvertent aspiration of material.

4. OptraGate

The OptraGate (Ivoclar Vivadent, www.ivoclarvivadent.us), with its unique ring design (Figure 4), offers facilitated access to the oral cavity through gentle perioral retraction of the lips and cheeks. It is an auxiliary aid that enables the treatment field to be enlarged easily, effectively, and comfortably. Available in two adult sizes, “regular” and “small,” OptraGate is entirely latex-free and can, therefore, be used in patients with latex allergies.

Tooth Preparation

The pits and fissures of the teeth must be cleaned before sealant application; it is imperative that deposits and organic debris have been removed. Commercial pastes contain coloring and/or flavoring agents, glycerin, and/or fluoride that may interfere with bonding. Use of a bristle brush with a slurry of pumice and water or an air-powder polisher effectively cleans the occlusal surfaces.

Acid-Etching

Once the tooth to be sealed is isolated, cleaned, and dried, the enamel surface is ready for acid-etching. The acid creates microscopic pores on the enamel surface into which the sealant flows and hardens, and is mechanically locked into place. The acid supplied by most manufacturers is 35% to 50% phosphoric acid in either liquid or gel form. Most common acids are at concentrations of 37%. Many dental professionals prefer to use gel as it is easy to control, and the color of the gel assists in identifying where it has been applied.

The etchant should always be applied to all of the susceptible pits and fissures of the tooth, regardless of the type of etchant used. It must extend up the cusp inclines at least 2 mm beyond the anticipated margin of the sealant. Liquid etch should be applied with a brush. Gel etch should be applied and left undisturbed. Rubbing gel acid burnishes the enamel surface, and causes it to become smooth again, which decreases retention and adversely affects bond strength.

The gel should not come in contact with the soft tissue; if it does, the area should be immediately rinsed thoroughly with water.

After the etchant has remained on the tooth for the time designated in the manufacturer’s directions, it must be thoroughly rinsed. This process lasts as long as it takes to completely remove it from the surface of the tooth, approximately 10 to 20 seconds.

After rinsing is completed, the tooth must be dried with air that is free of oil and moisture. The specific amount of time to dry is not as important as the specific result. A tooth that has been properly etched, rinsed, and dried will exhibit a white, dull, frosty appearance. If this frosted appearance does not occur, re-etch the tooth surface, rinse, and dry until the desired appearance of the tooth has been achieved. The procedure should also be repeated if saliva contamination occurs at any time during the application of the etchant.

Sealant Application

The ultimate goal of sealant application is to place the material so it covers all pits and fissures on the occlusal surface. This includes a thin layer of material carried up the buccal and lingual inclines of the occlusal surface in order to seal any supplementary areas. The sealant is also placed in the buccal pits and lingual grooves as needed. All of these areas must first be properly etched before the sealant is placed.

Placement may include using a custom dispenser that is supplied by the manufacturer, a small brush, a narrow gauge dispensing tip, etc. The dental professional must choose the technique that he or she feels is most appropriate.

A successful sealant feels hard and smooth, and is firmly bonded to the tooth. Air bubbles should not be present; if any are noted, re-etch the tooth for 10 seconds, rinse and dry the teeth, and apply additional sealant. High-spot areas contain excess sealant material that interferes with normal occlusion. If this occurs, remove the excess filled sealant material—identified by the use of articulating paper—with a finishing bur. Minor discrepancies with an unfilled sealant are eliminated by normal masticatory processes.

Techniques

There are two basic techniques that may be employed for the placement of sealants: the traditional technique using phosphoric acid, or using a self-etching bonding material (adhesive) to bond the sealant to the tooth. The armamentarium for the procedure includes:

• Mouth mirror

• Explorer

• Cotton forceps

• Saliva ejector

• Sealant material

• Phosphoric acid

• Cotton rolls/rubber dam

• Air/water syringe

• Moisture control patches

• High-speed evacuation tube

• Slow-speed handpiece

• Bristled brush

• Pumice

• Floss

• Protective shield

• Protective eyewear

• Personal protective equipment

• Light-curing unit

• Finishing burs

• Articulating paper

Traditional Technique: Placing Sealants Using Phosphoric Acid

1. Prepare the patient by explaining the procedure and the steps to be performed. Provide the patient with safety eyewear for protection from the etching chemicals and sealants, and also from the light of the curing unit.

2. Clean the tooth surface with a slurry of pumice and water, a bristle brush with clear water, or an air-powder polisher (Figure 5). Do not use a paste that contains coloring, and/or flavoring agents, glycerin, and/or fluoride, as these may interfere with bonding. Rinse thoroughly with water.

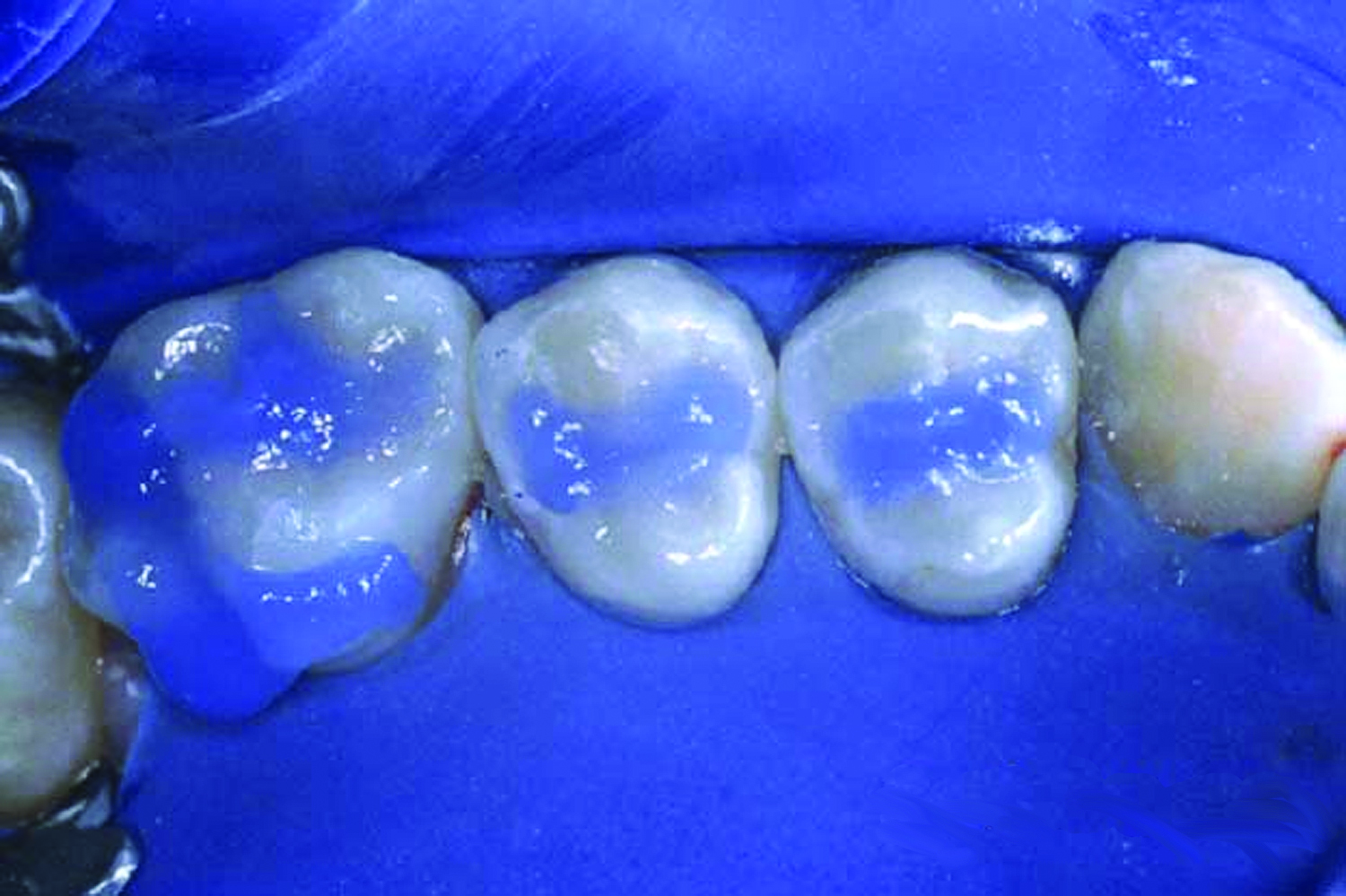
3. Isolate the teeth using one of the methods previously mentioned (Figure 6).

4. Dry the tooth surface with compressed air that is free of oil and moisture (Figure 7). This will prepare the tooth for the acid etch, and also eliminate moisture and contamination. Dry the tooth for a minimum of 10 seconds.

5. Apply phosphoric acid to the clean, dry surface for 15 to 60 seconds (Figure 8). The etching time varies; therefore, follow the manufacturer’s instructions. Liquid gel has a low viscosity, allowing good flow into the pits and fissures; however, it may be difficult to control. Gel etch is thick, and tinted for increased visibility and control, but may be more difficult to rinse off the tooth surface than a liquid gel.

6. Thoroughly rinse the etched tooth surface using a water syringe and high-speed evacuation. If the etched surface becomes contaminated with saliva, re-etch for 10 seconds.

7. If using cotton rolls for isolation, replace the cotton rolls with a cotton forceps as they become wet, as moisture will interfere with bonding and retention.

8. Dry the tooth surface with compressed air for a minimum of 10 seconds. A properly etched surface will appear white, dull, and frosty (Figure 9).

9. Apply the sealant over the pits and fissures (Figure 10). Avoid over manipulation to prevent producing air bubbles. Cover all the pits and fissures, but do not overfill to a high, flat surface.

10. Light-cure the sealant for the required time indicated in the manufacturer’s instructions for use.

11. Once the sealant is polymerized, evaluate the sealant with an explorer and check for a hard, smooth surface and retention (Figure 11). If necessary, additional sealant can be added if the surface has not been contaminated.

12. If imperfections are apparent, such as incomplete coverage, air bubbles, etc., re-etch the tooth for 10 seconds. Rinse and dry the tooth, and apply additional sealant.

13. If using a filled sealant, check the occlusion with articulating paper to locate high spots and adjust as required. If using an unfilled sealant, minor discrepancies will be eliminated by normal masticatory processes.

14. Floss the treated teeth to ensure that the sealant has not blocked the contact between the teeth.

15. The sealant should be examined for deficiencies at each dental appointment (preferably every 6 months).

Bonding Sealants Using Dental Adhesives

An alternative technique can assist in overcoming the limitation of resin-based sealants. The inclusion of a bonding primer and adhesive layer between the etched enamel and the sealant has been shown to be effective in improving bond strength and minimizing microleakage. It has been reported that the use of single-bottle bonding systems as a layer between enamel and sealant decreased the risk of failure of both occlusal sealants and buccal–lingual sealants.

Recent advances in bonding chemistry, such as self-etch adhesive systems, can dramatically simplify the steps involved in sealant application while providing equivalent sealant retention when compared with the traditional technique of using phosphoric acid. This simplified technique minimizes the time of the sealant placement, helps to decrease the need for patient compliance, and minimizes potential errors in technique.

The acidity of various self-etch adhesive materials varies greatly; it can be classified as strong, mild, or intermediary. A strongly acidic material is necessary to etch the enamel in a manner similar to phosphoric acid, especially if the enamel has not been prepared or instrumented in anyway.

Alternative Technique: Bonding Sealants Using a Self-etching Adhesive

Note: The armamentarium is the same as the traditional technique, with the exception of replacing the acid etchant with a strongly acidic self-etching adhesive.

1. Thoroughly clean the teeth to remove plaque and debris from the enamel surfaces and fissures. Rinse thoroughly with water and dry. Do not use a cleaning medium containing oils or fluoride.

2. Prepare the adhesive according to the dispensing instructions.

3. Brush the adhesive on the surface to be sealed and massage for 15 seconds, applying moderate pressure (Figure 12). Do not shorten this time, as proper bonding will not occur if the solution is simply applied and dispersed.

4. Use a gentle stream of air to thoroughly dry the adhesive to a thin film (approximately 10 seconds) (Figure 13). If the stream of air is too forceful, the adhesive will be blown off the tooth. The tooth surface will appear glossy, but not moist. It will not appear frosty as in the traditional technique.

5. Apply a light-cured sealant (Figure 14).

6. Light-cure the sealant and adhesive together with a halogen, light-emitting diode, or plasma light for the amount of time specified to cure the sealant (Figure 15).

7. Check sealant coverage and wipe clean (Figure 16).

Long-Term Success Factors

The long-term success of sealant therapy depends on vigilant recare and repair if necessary. Even partial loss of a sealant can lead to a surface at risk for caries similar to that for a surface that was never sealed. However, studies that incorporated routine recare and maintenance report greater than 80% success after a decade or more. Simonsen published the longest clinical trial associated with sealants, which identified 15-year results. His data showed the complete retention rate of sealants to be 82% at 5 years, 56% at 10 years, and 27% at 15 years.

It is important that patients, particularly children, have a dental office that they visit regularly, where oral healthcare maintenance can be appropriately provided. Despite the fact that sealants are presumed safe and effective, the treatment is typically underused. Data show that only 15% of US children aged 6 to 17 years have sealants. To improve the usage rates, the US Surgeon General’s Healthy People 2010 Report set a goal to increase sealant use to 50% for 8- and 14- year-old children. The goal was not met and only reached 25.5% for children aged 6 to 9 years for first molars and 19.9% for teens aged 13 to 15 years for second molars. For the updated report in 2020, the Surgeon General’s new goal is set at 28.1% for children aged 6 to 9 years and 21.9% for teens.

Most dentists attribute the underuse of sealants to a lack of insurance coverage for the application process. Third-party dental providers are seemingly concerned about overtreatment. Unfortunately, the result is that only a small percentage of those who could most benefit from sealants are receiving them.

Summary

The dental professional has a responsibility to assess each patient at each recare appointment for the necessity of sealant placement. Caries risk may exist at any age, in any tooth with a pit or fissure, including the primary and permanent teeth in children. It takes a relatively short period of time to assess the general caries risk (low, moderate, or high) of the individual, whether or not there are any contraindications to sealants for the patient, the individual teeth that would benefit from sealants and the type of sealant material to apply (resin-based for long-term retention or glass ionomer as a transitional sealant); and then to make a recommendation to the patient to receive pit-and-fissure sealants.

Although patients and/or parents might raise concerns related to their cost, especially if dental insurance is not available or does not fully cover the procedure, it is important to explain the long-term cost effectiveness of placing sealants versus restorative work in the future. With ongoing professional dental care, fluoride therapies, patient compliance with plaque removal, and the placement and maintenance of sealants, we have the tools to help patients keep their teeth relatively “caries-free” for a lifetime.

It is important that patients, particularly children, have a dental office that they visit regularly, where oral healthcare maintenance can be appropriately provided. Despite the fact that sealants are presumed safe and effective, the treatment is typically underused.

About the Author

Ms. Neuenfeldt obtained her associate degree in dental hygiene from Northeast Wisconsin Technical College, and is also a 1994 graduate of Cardinal Stritch University, where she earned a bachelor of science degree in business management. She practiced clinical dental hygiene for 11 years before making a career transition in 1988 to 3M ESPE. During the past 20 years with the company, she has been involved in various functions including customer service, technical service, sales, marketing, and professional relations. Ms. Neuenfeldt serves on several advisory boards, including the American Dental Hygienists Association Industry Advisory Board, the American Dental Assistants Association Foundation Board, Dimensions of Dental Hygiene Industry Board, and the Century Community College Dental Hygiene Advisory Committee. In 2003, she was recognized with the Outstanding Dental Hygienist Service award from the Minnesota Dental Hygiene Association.

References

American Academy of Pediatric Dentistry, Council on Clinical Affairs. Guideline on Pediatric Restorative Dentistry. Reference Manual. 2012;35(6):226-234.

American Dental Association, Council on Access, Prevention and Interprofessional Relations. Treating caries as an infectious disease. J Am Dent Assoc. 1995;126(Suppl 1).

Brown LJ, Kaste L, Selwitz R, Furman L. Dental caries and sealant usage in U.S. children, 1988-1991: selected findings from the Third National Health and Nutrition Examination Survey. J Am Dent Assoc. 1996;127:335-343.

Brown LJ, Selwitz RH. The impact of recent changes in the epidemiology of dental caries on guidelines for the use of dental sealants. J Public Health Dent. 1995;55(5 Special No):274-291.

Beauchamp J, Caufield PW, Crall JJ, et al. Evidence-based clinical recommendations for the use of pit-and-fissure sealants: a report of the American Dental Association Council on Scientific Affairs. J Am Dent Assoc. 2008;139(3):257-268.

Chestnutt IG, Schäfer F, Jacobson AP, Stephen KW. The prevalence and effectiveness of fissure sealants in Scottish adolescents. Br Den J. 1994;177:125-129.

Council on Dental Research. Cost effectiveness of sealants in private practice and standards for use in prepaid dental care. J Am Dent Assoc. 1985;110:103-107.

Darby ML, Walsh MM. Dental Hygiene Theory and Practice. Elsevier Health Sciences. 2003:553-561.

do Rego MA, de Araujo MA. Microleakage evaluation of pit and fissure sealants done with different procedures, materials, and laser after invasive technique. J Clin Pediatr Dent. 1999;24:63-68.

Eklund SA, Ismail AI. Time of development of occlusal and proximal lesions: implications for fissure sealants. J Public Health Dent. 1986;46:114-121.

Feigal RJ, Musherurue P, Gillespie B, et al. Improved sealant retention with bonding agents: a clinical study of two-bottle and single-bottle systems. J Dent Res. 2000;79:1850-1856.

Feigal RJ, Quelhas I. Clinical trial of a self-etching adhesive for sealant application: success at 24 months with Prompt L-Pop. Am J Dent. 2003;16:249-251.

Forss H, Halme E. Retention of a glass ionomer cement and a resin-based fissure sealant and effect on carious outcome after 7 years. Community Dent Oral Epidemiol. 1998;26:21-25.

Geiger SB, Gulayev S, Weiss EI. Improving fissure sealant quality: mechanical preparation and filling level. J Dent. 2000;28:407-412.

Going RE, Loesche WJ, Grainger PA, Syed SA. The viability of microorganisms in carious lesions five years after covering with a fissure sealant. J Am Dent Assoc. 1978;97:455-462.

Gore D. Not just for kids. Dimensions of Dental Hygiene. 2011;9(6):66-69.

Gray GB, Paterson RC. Management of fissure caries in the community dental services using sealant restorations: a field trial. Eur J Prosthodont Restor Dent. 1998;6:33-40.

Hackmyer SP. Sealants A to Z. Dimensions of Dental Hygiene. 2011;9(11):58-61.

Hayes MJ. Dental sealants: A cornerstone of preventive care. Inside Dental Assisting. 2011;7(6):36-38.

Hotuman E, Rolling I, Poulsen S. Fissure sealants in a group of 3-4 year old children. Int J Paediatr Dent. 1998;8:159-160.

Ismail AI. Reactor paper: minimal intervention techniques for dental caries. J Public Health Dent. 1996;56(3 Spec No):155-160.

Romcke RG, Lewis DW, Maze BD, Vickerson RA. Retention and maintenance of fissure sealants over 10 years. J Can Dent Assoc. 1990;56:235-237.

Simonsen RJ. Retention and effectiveness of dental sealant after 15 years. J Am Dent Assoc. 1991;122:34-42.

Smales RJ, Wong KC. 2-year clinical performance of a resin-modified glass ionomer sealant. Am J Dent. 1999;12(2):59-61.

Vrbek V. Retention of a fluoride-containing sealant on primary and permanent teeth 3 years after placement. Quintessence Int. 1999;30:825-828.

Warren DP, Infante NB, Rice HG, et al. Effect of topical fluoride on retention of pit and fissure sealants. J Dent Hygiene. 2001;75:21-24.

Wilkins EM. Clinical Practice of the Dental Hygienist. Philadelphia, PA: Lippincott Williams & Wilkins; 2005:569-578.

Sidebar 1

American Academy of Pediatric Dentistry Guidelines on Pediatric Restorative Dentistry*

1. Sealants should be placed into pits and fissures of teeth based upon the patient’s caries risk, not the patient’s age or time lapsed since tooth eruption.

2. Sealants should be placed on surfaces judged to be at high risk or surfaces that already exhibit incipient carious lesions to inhibit lesion progression. Follow-up care, as with all dental treatment, is recommended.

3. Sealant placement methods should include careful cleaning of the pits and fissures without removal of any appreciable enamel. Some circumstances may indicate use of a minimal enameloplasty technique.

4. A low-viscosity, hydrophilic material bonding layer, as part of or under the actual sealant, is recommended for long-term retention and effectiveness.

5. Glass ionomer material could be used as transitional sealants.

* Excerpt from the American Academy of Pediatric Dentistry Reference Manual.

* The AAPD Reference Manual is intended to encourage a diverse audience to provide the highest possible level of care to children. It is not intended, nor should it be construed, to be either a standard of care or a scope of practice document. It contains practice guidelines which are intended to be recommendations for care that could be modified to fit individual patient needs based on the patient, the practitioner, the healthcare setting, and other factors.

* Revised 1998, 2001, 2004, 2008, 2012.

Fig 1. The Spectra is one of the available tools for caries detection. (Courtesy of Air Techniques.)

Figure 1

Fig 3. This patient is wearing the Isolite, which delivers continuous illumination, aspiration, and retraction all in one device.

Figure 3

Fig 4. The OptraGate facilitates oral cavity access with it gentle perioral retraction of the lips and cheek.

Figure 4

Fig 5. Clean the tooth surface with a slurry of pumice and water, a bristle brush with clear water, or an air-powder polisher.

Figure 5

Fig 6. Isolate the teeth to prevent moisture or contamination from interfering with the sealant.

Figure 6

Fig 7. Dry the tooth surface with compressed air that is free of oil and moisture for a minimum of 10 seconds.

Figure 7

Fig 8. Apply phosphoric acid to the clean, dry surface for 15 to 60 seconds.

Figure 8

Fig 9. Dry the tooth surface again with compressed air for a minimum of 10 seconds. A properly etched surface appears white, dull, and frosty.

Figure 9

Fig 11. Once the sealant is polymerized, evaluate the sealant with an explorer and check for a hard, smooth surface and retention.

Figure 11

Fig 12. Brush the adhesive on the surface to be sealed and massage for 15 seconds, applying moderate pressure.

Figure 12

Fig 13. Use a gentle stream of air to thoroughly dry the adhesive to a thin film (approximately 10 seconds).

Figure 13

Fig 14. Apply a light-cured sealant.

Figure 14

Fig 15. Light-cure the sealant and adhesive together.

Figure 15

Fig 16. Check sealant coverage and wipe clean.

Figure 16

CREDITS: 0
COST: $0
PROVIDER: American Dental Assistants Association
SOURCE: American Dental Assistants Association | October 2014

Learning Objectives:

  • Explain the purpose of pit-and-fissure sealants.
  • Determine which patients are candidates for sealants.
  • Describe the current materials that are available.
  • Explain the clinical indications and contraindications for sealant application
  • Assemble the appropriate armamentarium for the placement of sealants.
  • Demonstrate an understanding of the proper sealant application techniques and maintenance of sealants.

Disclosures:

The author reports no conflicts of interest associated with this work.

Queries for the author may be directed to justin.romano@broadcastmed.com.