Power Toothbrushes: Everything You Need to Know to Make Informed Recommendations for Your Patients

Ginger B. Mann, BSDH, MS; and Bettina Wick-Urban, MS, PhD

June 1, 2020 Course - Expires Sunday, December 31st, 2023

American Dental Assistants Association

Abstract

The information found in this course will arm the dental professional with the information and resources required to make informed power toothbrush recommendations that benefit patients and boost brushing compliance.

You must be signed in to read the rest of this article.

Login Sign Up

Registration on CDEWorld is free. You may also login to CDEWorld with your DentalAegis.com account.

The information found in this course will arm the dental professional with the information and resources required to make informed power toothbrush recommendations that benefit patients and boost brushing compliance.

Evolution of the Toothbrush

Manual toothbrush origins

Tooth cleaning devices date back thousands of years. Primitive configurations of the toothbrush - called "chewsticks" - are mentioned in Chinese literature as early as 600 B.C. The toothbrush in its more modern form finds its roots in 1498 A.D. China, when it was reportedly constructed of hog bristles. When toothbrushes began to surface in Europe in the late 18th and 19th centuries - often made of gold, ivory or ebony and with replaceable heads - their high cost prevented ownership by the masses. By the 1930's, however, affordable, plastic-handled, nylon filament manual toothbrushes had become widely available.1,2 While synthetic materials were thereafter the industry standard in toothbrushes until the 1970s, hard-bristled versions became popular as a result of a "brushing harder = cleaner teeth" mindset. This well-intended but misguided philosophy may have precipitated many cases of toothbrush abrasion to the teeth and gingiva as well as gingival recession of the surrounding tissues. Fortunately, softer, safer bristled-models now prevail and consumers have gotten the message that aggressive brushing is unnecessary. Toothbrushing is now an integral part of the daily routine of most individuals in industrialized countries, who seek cosmetic and/or oral health benefits.3

While manual toothbrushes have been the most commonly used mode of oral hygiene since their inception, the need for an even more effective alternative has been recognized for at least two centuries. "Mechanical" toothbrush devices (Figure 2) were patented in the mid-19th century with the goal of addressing the limitations of manual toothbrushes. The power toothbrush as we recognize it today has its roots in prototypes first commercially available in the 1960's. These bulky power brush forerunners - termed "electric" toothbrushes - were initially primarily intended for special populations; e.g. limited dexterity. Their cumbersome size, power source unreliability, and a lack of concurrence regarding effectiveness all likely prevented broad adoption of these early automated offerings.4 Product manufacturing engineers pushed forward with additional development and technological innovation, however, and ever more streamlined, effective, and sophisticated power toothbrush models with diverse designs and modes of action made their way to the marketplace over the next few decades. These second generation power toothbrushes were no longer solely targeted for niche subgroups, as the dental community increasingly came to appreciate the clinically observable benefits of the power toothbrush for all population segments.

Following extensive development, in 1978, Oral-B® (Procter & Gamble Company, Cincinnati, OH, USA) pioneered the first mass-produced power toothbrush intended for general use. The "D-1" (see Figure 3) featured a manual-like brush head and a side-to-side motion.

Over the following decade, electric brushes with modes of action attempting to simulate the rotary, circular-like movements of professional cleaning instruments (e.g., Rotadent® [Zila, Fort Collins, CO, USA]) or utilizing varying brush head tufts rotating in a counter rotational fashion (e.g., Interplak® [Conair, East Winslow, NJ, USA]) were launched, as the popularity of power brushes for general use began to grow.

A major milestone in the development timeline of power toothbrushes occurred in 1991 with the introduction of the Oral-B Plaque Remover ‘D5' and its novel, prophylaxis-inspired oscillating-rotating mode of action (see Figure 3).5 With a cup-shaped brush head and end-rounded bristles providing robust plaque removal via 5600 oscillations per minute, this was the first power toothbrush technology clinically proven to clean better than a manual toothbrush6 (see also Section D). It also featured new compliance-enhancing features, including a two minute light timer to boost brushing frequency.

A side-to-side motion undergirded by a high frequency ("sonic") power toothbrush technology was introduced in 1992 (Sonicare® [Philips Oral Healthcare, Snoqualmie, WA, USA]) and later called Advance. Another significant development in the history of power toothbrushes occurred in 1999, when the first mass-marketed battery-powered toothbrush entered the growing line-up of power toothbrush options.

The next few years brought additional technological advances in oscillating-rotating technology. The Oral-B 3D Plaque Remover (Figure 3) debuted in 1998, incorporating high frequency pulsating movement to the oscillating-rotating technology for three-dimensional brush head movement, providing enhanced plaque removal and penetration in the approximal regions.7 Later renamed the D15, this power brush combined 20,000 pulsations with 7600 oscillations per minute.

Adding increased oscillations and pulsating frequencies later culminated in the Oral-B Professional Care Smart Series with SmartGuide power toothbrushes. The Oral-B Triumph with Smart Guide (Figure 3), launched in 2007, was the first power toothbrush with clinically proven combined oscillating/rotating/pulsating technology, together with an innovative new wireless remote display feature (Smart Guide) for continuous visible brushing feedback.8

Sonic power toothbrushes have also continued to evolve since their debut in the early 1990s. A second-generation Philips sonic brush - Sonicare Elite - was marketed in 2002; it was differentiated from the original sonic brush by a modified bristle trim, slim/angled brush head shaft to target hard-to-reach regions, and modified lighter and smaller brush handle9 (Figure 4). In 2004, Oral-B introduced a new sonic power brush (Sonic Complete), followed in 2008 by the Pulsonic, targeting consumers who favored sonic brushes but wanted a quieter, slimmer/lighter option that still provided maximum cleaning performance. Most recently, DiamondClean by Philips boasts a redesigned handle and high-density, diamond-shaped bristles that should improve cleaning and whitening (Figure 4).

A very recently introduced novel power toothbrush technology representing a new option for patients who enjoy a manual brushing experience is employed in the rechargeable Oral-B TriZone or Oral-B Deep Sweep/TRICLEAN in the United States (Figure 5). This brush has a unique, multi-directional movement derived from three distinct brush zones to feature the triple-zone cleaning technology. Each zone collaboratively helps to provide improved plaque removal in three different intraoral regions: a power tip for hard-to-reach back teeth, the manual-like stationary bristles for thorough cleaning of the tooth surfaces, and the wide sweeping-pulsating bristles for interdental cleaning.

Differences in Power Toothbrush Technologies

Contrasting today's myriad power toothbrush options with the few available in the early days of electric brush technology highlights the dramatic technical innovation seen in the last half of the century. Dental professionals and patients now have numerous choices when recommending or selecting a power toothbrush, and understanding the technology, benefits, and clinical research support profile of the various technologies is foundational to making a wise selection. Power source, cleaning technology modality, and brush head options are three variables distinguishing commercially available power toothbrushes.

Power source

All power toothbrushes marketed today are powered in one of two ways: 1) disposable battery-operated; or 2) rechargeable power source.

Disposable battery-powered toothbrushes. Lower cost, replaceable (disposable), battery-operated toothbrushes utilize built-in AA batteries so that the batteries can be replaced when worn down (on some models) or the entire toothbrush discarded. The brush head can sometimes be replaced, depending on the model. As the battery life is reduced, the toothbrush speed also reduces.

Rechargeable powered toothbrushes. Power toothbrushes with rechargeable batteries are charged by sitting on a stand that is connected to an electrical outlet. Patients keep the handle, but replace the brush head optimally every three months. The speed of these brushes varies from low to high, with the variance dependent on the manufacturer and type of brush.

Cleaning technology modalities

In addition to their power source, power toothbrushes differ in their cleaning technology mechanisms and can be categorized by the manner in which the brush head moves. Table A summarizes the various types of motion and modes of action in power brush movements.

Brush heads

Today's advanced brush technologies are definitely not "one size fits all." Because patients have individual oral hygiene needs, some manufacturers offer multiple brush head options, including round, conical, or manual-like heads for targeted cleaning and/or patient preference.

For example, Oral-B oscillating-rotating power toothbrushes feature brush head designs that are inspired by a dental professional's rubber cups' size and shape, which adapt to each tooth surface by cupping the tooth and cleaning difficult-to-reach surfaces. The small, round brush head is designed to perfectly cup and wrap the tooth surface. Patients can brush each tooth individually, and reach the difficult-to-reach portions of each tooth.

Different interchangeable brush heads for different patient needs are available (See Figure 7). Oral-B brush heads for oscillating-rotating brushes are angled three degrees to help reach posterior regions of the oral cavity. In addition to soft end-rounded bristles, each of these brush heads has unique features designed to address specific patient needs. Indicator bristles signal when patients should replace their brush head for optimal plaque removal and safety.

Sonic toothbrush manufacturers also offer brush heads customized for specific patient desires/needs. Figure 8 displays examples of brush heads available for Philips Sonicare and Oral-B Pulsonic power toothbrushes.

Clinical Efficacy Evidence: Reducing Plaque, Gingivitis, Staining and Calculus

While patient preference is an important factor in toothbrush selection, equally integral is the ability of a given toothbrush - manual or power - to improve oral health through efficient plaque removal and reduce signs of gum disease such as inflammation and gingival bleeding. Many patients are also interested in a brush's capacity to target cosmetic concerns, such as stain removal and whitening, and unsightly supragingival calculus.

Dental professionals examine patients every day who exhibit gingivitis and/or periodontal disease, as an estimated four-fifths of adults are afflicted.10 Many factors, such as family predisposition, smoking habits, systemic disease and host defense mechanisms, determine how patients respond to the bacterial plaque existing in their oral cavities. Dental professionals cannot control or change most of these risk factors; therefore, the focus should be on the one evidence-based etiologic factor that is modifiable: the removal of bacterial plaque.11 It is well-documented that effective plaque removal is central to the prevention of gingivitis and periodontitis.12-14 Daily plaque removal by the patient accompanied by professional care should focus on the elimination of dental plaque and its pathogenic products. Studies have shown that the removal of supragingival plaque affects the subgingival plaque biofilm; therefore, it reduces the clinical signs of inflammation (Figure 9).11

Diligent, frequent use of a manual toothbrush together with an interdental cleaning device (e.g. floss) has been shown to be sufficient for thorough plaque debridement and therefore control of gingivitis.15 Unfortunately, research has shown that many individuals do not achieve thorough plaque removal solely with use of a manual toothbrush and do not floss regularly, whether due to lack of ability or motivation.10,16,17 Conversely, studies and surveys have found power toothbrushes can motivate patients to brush more regularly and for longer durations,8,18,19 and because a skilled brushing technique is less critical as the power brush head does the work, plaque removal (both overall and approximally) can be greater with use of certain power toothbrushes. Power toothbrushes differ in their effectiveness, however, and well-controlled clinical research is essential when comparing the abilities of various brush technologies.

Plaque and gingivitis control

One reason first generation electric toothbrushes were not widely promoted beyond special needs and orthodontic populations in the 1960s and 1970s was a lack of evidence that as a class they provided equivalent or superior plaque control to a standard manual toothbrush. In 1985, an international oral hygiene workshop convened and reviewed the comparative effectiveness of available power toothbrushes. Oscillating-rotating power brushes had not been launched, and the reviewers determined that the while power toothbrushes aided in plaque removal, there was not yet conclusive evidence that either manual toothbrushes or power toothbrushes were superior to one another.20 By the late 1990's, following the introduction of additional power brushing technologies (including oscillating-rotating and sonic), the opinion of international thought leaders had evolved. During the 1998 European Workshop on Mechanical Plaque Control, Dr. G.A. van der Weijden, (ACTA, Amsterdam), concluded, "Clinical trials over the past 10 years show that in controlled trials electric toothbrushes appear to be superior to manual brushing."21

A very large systematic review (considered the gold standard in evaluating randomized controlled trials' effectiveness data) of the literature to date comparing the relative effectiveness of power and manual toothbrushes was undertaken by the independent and well-respected Cochrane Collaboration in 2003 (updated in 2005).6 The review encompassed 42 clinical trials involving almost 4,000 subjects, and assessed effectiveness outcomes in the removal of plaque, the health of the gingiva, stain, calculus, dependability, adverse effects and costs. The review concluded that only power toothbrushes that employed a rotation-oscillation action were proven consistently superior at removing plaque and reducing gingivitis more effectively than manual brushes in the short and long term. In a recent example, a 4-week clinical investigation by Klukowska and colleagues wherein 118 subjects were assigned to either an oscillating-rotating toothbrush or a standard manual brush found that the power toothbrush yielded significantly superior reductions in gingivitis (by almost three times) and bleeding and plaque (by almost two times) compared to the manual brush.22

Additional research since the Cochrane review has further expanded the body of literature supporting power toothbrushes' ability to fight plaque and gingivitis. Sonic-powered brushes (e.g., Sonicare) have been reported to provide statistically significant plaque and/or gingivitis reduction versus baseline in published reports.23,24 However, a 2011 Cochrane review of seven trials in clinical trials of up to three months durations concluded there was evidence that rotation-oscillation power toothbrushes reduced plaque and gingivitis more than side-to-side (sonic) power brushes.25 In a recent 12-week clinical trial of subjects with pre-existing gingivitis and plaque, those brushing with an oscillating-rotating-pulsating toothbrush had 19%, 32% and 34% significantly less plaque, gingivitis, and bleeding, respectively, than subjects assigned to a leading sonic technology toothbrush.26

The recently introduced Oral-B Tri-Zone/Deep Sweep brush with its novel multi-directional movement has been shown in four clinical trials to significantly reduce plaque in both all-over and harder-to-clean regions and significantly reduce gingivitis when compared to both to a leading sonic power technology and regular manual toothbrush controls.27

In considering the value-oriented battery-powered toothbrushes, effectiveness can vary by brand/mode of action, but some have been shown in controlled clinical investigations to be more efficacious in plaque removal and gingivitis reduction than comparator toothbrushes. For example, in one published clinical trial, the Oral-B Battery Toothbrush (D4) provided 14% greater whole mouth plaque removal relative to a manual brush control,28 and in another investigation, yielded significantly greater plaque reduction than another marketed battery-powered brush, while concurrently providing improvement in gingival bleeding.29 Similarly, the SpinBrush (Arm & Hammer) battery-powered toothbrush was shown in four crossover-design clinical trials to provide 10%-40% superior plaque removal relative to various manual toothbrush controls.30

Stain removal/whitening and calculus. Studies have also shown power toothbrushes better remove extrinsic stains caused by coffee, tea and tobacco than manual brushing and thus promote tooth whitening; a feature particularly important to many patients. Terezhalmy et al studied the impact of using an oscillating-rotating power toothbrush in study participants with existing stain, compared with a dental prophylaxis followed by brushing with a manual toothbrush. After two weeks, the power toothbrush produced effective stain removal (>90%) comparable to that of the oral prophylaxis with manual toothbrushing.31

These investigators subsequently evaluated the stain-removing capabilities of two sonic toothbrushes in subjects with pre-existing stain, and found both brushes to provide highly statistically significant reductions in stain following two weeks of twice daily use.32

Clinical research has also shown that an oscillating-rotating power toothbrush can control dental calclulus (tartar) formation. In a crossover trial comparing a manual toothbrush, a sonic power toothbrush, and the Braun Oral-B 3D Excel, the Oral-B oscillating-rotating brush was the most efficacious, yielding a 63% reduction in calculus from baseline.33

Clinical Evidence of Gentleness/Safety

The average adult may use improper toothbrushing techniques, and/or hard bristle filaments, which can damage the gingiva, dentin, and/or enamel.4 Tooth wear is becoming a greater issue as life expectancy is increasing and teeth are retained in the oral cavity longer. Exposed dentin as a result of receding gums is not esthetically pleasant but may also lead to sensitivity and root caries. The propensity of a given toothbrush and/or brushing technique to contribute to abrasion and gingival recession is therefore a concern.

Abrasion and recession

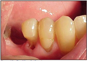
Tooth and gingival abrasion are defined as pathologic wear as a result of a foreign substance (Figure 10). Abrasion is multi-factorial but is generally believed to be caused by over-zealous toothbrushing. Studies have also reported an increase in cervical lesions in people who brush with greater frequency, for longer periods of time and use the "scrubbing" brushing technique.34,35

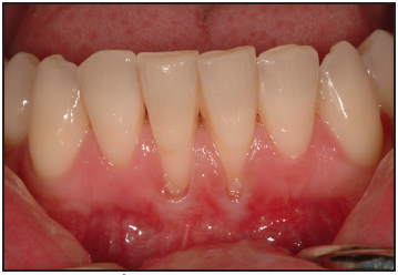
Gingival recession is defined as the reduction of the height of the marginal gingiva to a location apical to the cementoenamel junction, resulting in root surface exposure (Figure 11). Gingival recession can be precipitated by many factors including increasing age, gender, and anatomical factors. Toothbrushing technique, frequency, duration, force of brushing, and the hardness of toothbrush filaments may also contribute to gingival recession.36

Power toothbrush safety data

Most leading power toothbrushes have been tested extensively both in the laboratory and in clinical trials for gentleness to the dentition and gingiva, including assessments for some brushes of applied pressure (force), incidence of abrasions, and measurement of any associated gingival recession. A study evaluating the brushing force of individuals using a manual toothbrush and three electric toothbrushes with distinct modes of action showed that considerably more force was used by those patients using the manual brush, while less force was used with the electric brushes.37

Dentino et al and Danser et al have demonstrated in independent clinical investigations that study participants brushing with a power toothbrush did not experience greater gingival recession or gingival abrasion, respectively, than those participants assigned to the manual toothbrush.38,39 Dörfer and colleagues observed the depth of tooth abrasion in a long-term (35 months) clinical trial of an oscillating-rotating-pulsating power toothbrush versus the American Dental Association (ADA) reference manual toothbrush and concluded that the power toothbrush did not show a higher risk of tooth abrasion compared to the manual brush.40 With respect to gingival recession, Dörfer et alstudied recession changes in 109 subjects with at least two sites of at least 2 mm recession at baseline following 12 months' clinical use of an oscillating-rotating power toothbrush (Oral-B Professional Care 7000) or an ADA reference manual toothbrush. The results demonstrated that while both brushes reduced recession on the buccal surfaces, there was a tendency towards a higher reduction in recession in the oscillating-rotating power toothbrush group, which was attributed by the authors to improved brushing technique.41 When reporting the 6-month results of this study, Dörfer and colleagues concluded, "Based on these six-month data, concern that power tooth brushing results in a higher risk for gingival recession is not warranted." In both study groups, pre-existing gingival recession was significantly reduced, and no adverse effects on oral hard and soft tissues were observed.42

In 2011, a systematic review was published by Van der Weijden and colleagues examining the literature reporting soft and/or hard tissue safety outcomes with the use of oscillating-rotating power toothbrushes compared to manual toothbrushes.43 This review and meta-analysis evaluated 899 potential publications, ultimately including 31 in vivo clinical trials (encompassing over 2000 patients) and four in vitro studies meeting all of the eligibility criteria. Inclusion criteria for clinical studies required randomized or controlled clinical trials that included oscillating-rotating brushes with a control manual toothbrush; and a safety assessment as a primary or secondary outcome measure or as a surrogate outcome measure of gingival abrasion of toothbrushing force or excessive force. The authors concluded that this systematic review of a large body of published research in the preceding two decades consistently showed oscillating-rotating brushes to be safe when compared with manual brushes, and collectively indicated that they do not pose a clinically relevant concern to hard or soft tissues.43

Sonic toothbrushes have been found to be well-tolerated in clinical trials, and were noted in the 2004 Cochrane Review to be (along with the other reviewed power toothbrushes) not more injurious than manual toothbrushes.6 In several laboratory (in vitro) investigations assessing various Sonicare power toothbrushes, the Sonicare brush was found to be less abrasive and/or more gentle compared to a manual toothbrush.44

Safety features of power toothbrushes

Several rechargeable power toothbrush models offer pressure sensors to monitor the force being applied by the user when brushing. Pressure sensors interrupt the brush movement to make patients aware when too much pressure is being applied. A power toothbrush with a wireless remote display has a red light that appears when too much pressure is applied (Figure 12). Other models may also include a red light in the handle of the toothbrush that is activated upon excess pressure.

Brush filaments are made of soft end-rounded nylon in various diameters. Endrounding occurs during the manufacturing process after the bristles are inserted into the brush head. The bristles are sanded and then polished to a smooth rounded tip. A bristle's stiffness is directly related to its diameter and length: thicker bristles require more force to bend than thinner bristles. Soft bristles are preferred, because hard bristles may abrade the gingiva. Now, most manufacturers (but not all) use endrounding technology to ensure safety for both hard and soft tissues in the oral cavity. Oral-B has a high quality standard, with brush bristles having greater than or equal to 85% endrounding.

Basis for Professional Recommendation of Power Toothbrushes

Drugstore shelves are stocked with numerous toothbrush options and regularly see new arrivals. The vast selection and options can prove confusing to patients, who often then look to their dental professional for advice. Should a manual toothbrush or power toothbrush be recommended? There are three key reasons why a power toothbrush is a wise choice.

1. Patient compliance and preference: Although the manual toothbrush is still in wide use worldwide, research shows that most patients do not brush or floss thoroughly, may use too much force, and/or brush for an inadequate amount of time.10,16,17 Power toothbrushes can help overcome these barriers to maintaining good oral hygiene via increased self-feedback and ease of use, and have been shown to enhance motivation and compliance.

It is well known that patients underestimate the amount of time they brush. Actual brushing time can be significantly different than estimated brushing time.45 Power toothbrushes with timers enable patients to assess the time spent on brushing. Certain models have timers that signal the patient every 30 seconds, prompting them to switch quadrants. The prompting usually is a few second change in the brushing action. The Oral-B Professional Care Smart Series 5000 with SmartGuide also has a wireless display that the patient can watch. In a 30-day clinical study, Walters et al found that subjects were 5.1 times more compliant with twice daily brushing for two minutes when using the wireless remote timer as compared to manual brush users.8 Many models feature multiple speeds and brushing modes to meet the needs of individual patients.

A brushing duration study in preteen and teen youth comparing a sonic power brush (Sonicare Xtreme) to a manual toothbrush control found that those assigned to the sonic brush for two weeks of home use brushed longer in a final on-site, videotaped session than those who had used the manual toothbrush at home under the same conditions.46

For manual brushing to be efficient and prevent disease, the patient must possess a certain skill level, i.e., they must be able to manuever the bristles skillfully to thoroughly remove plaque at the critical gingival margin and other hard to clean areas. Power toothbrushes like oscillating-rotating power brushes on the other hand, don't require a proficient patient technique, as the built-in brushing motion and ability to penetrate approximal regions (in some brushes) are inherent in the brush's bristle action as patients guide the brush. While this is especially valuable for those with limited dexterity (e.g., children, arthritis patients) all patients are likely to appreciate the fact that they don't need skill to achieve a clean dentition, and find the power brushing experience more enjoyable.

One study examined the compliance level of patients using powered toothbrushes unrelated to any social factors and found that 36 months after the purchase of the powered toothbrush, 62% were still using the brush on a daily basis.47 In a practice study, Warren et al assessed the effectiveness of an oscillating-rotating electric toothbrush based on the clinical opinion of dental professionals and the patients' attitudes toward the brush.48 In this study, 90% of the patients exhibited positive results, including reduction in plaque and improved gingival condition. Dental professionals (70%) stated they would be more likely to recommend this power toothbrush to their patients due to the changes evident in their patients' oral health. Seventy-four percent of the patients perceived their oral health to be better than when they were using a manual toothbrush. The vast majority (94%) of the patients reported that they would continue using the toothbrush after the conclusion of the study.48

2. Clinical effectiveness: As reviewed previously in Section D, many current-generation power toothbrushes have shown convincing evidence of efficacy in reducing plaque, gingivitis, stain and calculus in clinical research of varying study designs, lengths, and patient populations. Notably, a single class of power toothbrushes (oscillating-rotating) have been shown in a large independent systematic review by the Cochrane Collaboration to provide statistically significantly superior short- and long-term plaque and gingivitis control relative to manual toothbrushes.6 Further, the same reviewing organization has concluded in a 2011 report that, "There is some evidence that rotation oscillation brushes reduce plaque and gingivitis reduction more than side to side brushes in the short term."25

3. Safety: The safety of modern power toothbrushes has been researched extensively (See Section E) and has consistently been shown not to be a concern. Patients and professionals can feel confident that swapping their manual toothbrush for an oscillating-rotating power brush will not result in increased tooth and/or gingival abrasion and gingival recession, as per the results of recent clinical research and a systematic review.

Power toothbrushes with added safety features such as pressure monitors hold an advantage in gentleness over manual brushes, in that they offer the patient feedback to prevent over-aggressive brushing.45

Evidenced-based decision making

With new power toothbrush models debuting frequently, dental professionals may wonder how to best assess the effectiveness and safety of various new toothbrushes. It cannot be assumed all brushes perform equally well. Ideally, toothbrush claims should be supported by well-controlled clinical research. What are the best sources for evidence of product effectiveness and safety?

Literature. There are many literature resources available to dental professionals. Preferred sources should be those that have editorial boards who peer-review the submitted manuscripts for publication; examples of these titles include: American Journal of Dentistry, The Journal of Clinical Dentistry, The Journal of Evidence-Based Dental Practice, Journal of Clinical Periodontology, Journal of the American Dental Association, Journal of Dental Hygiene and The Dental Assistant Journal. Journals can be obtained through subscriptions, on-line or through a library affiliated with a dental, dental hygiene, or dental assisting program. Reviews of current literature are available from many resources.

Independent organizations. Another source is independent organizations such as the Cochrane Collaboration. The Cochrane Collaboration is an organization "that aims to help people make well informed decisions about healthcare by preparing, maintaining and promoting the accessibility of systematic reviews of the effects of healthcare interventions".49 Multiple databases are typically searched to collect research on the topic, including MEDLINE, EMBASE, and CINAHL. Organizations such as the Cochrane Collaboration review all the literature and make conclusions the public and dental professionals can examine, apply and evaluate. Manufacturers are also contacted for research results. Dental professionals have access to all these resources as well; consider asking company representatives for published research that supports their products.

Other resources. The internet contains a wealth of information for dental professionals and patients, however caution is warranted in verifying accuracy, and source-checking is recommended. Other resources include colleagues, experts in the field, or continuing education courses. Ultimately, the dental professional must evaluate the information, apply it and evaluate the outcome. The internet al so offers many resources for information on products or links to product information (Table B).

Specific power toothbrush recommendations

Which specific type of power toothbrush is the best fit for a particular patient? Ultimately, the recommendation should be based on clinical effectiveness in plaque, gingivitis, stain, and calculus control and safety, with allowances for patient preference. Dental professionals should consider the breadth of clinical research support, as well as assessments of systematic reviews of independent association such as the Cochrane Collaboration.

Rechargeable. Rechargeable brushes typically are equipped with the most features, varying in cost based on the extent of high-tech options to monitor safety, brushing time, and ensure the best brushing experience. Some models (e.g., Oral-B premium brushes) offer several custom brushing modes, such as those for whitening benefits, sensitive teeth, or gum-massaging action. Some manufacturers offer a variety of brush heads addressing individual patient oral needs.

Oscillating-rotating brushes. Currently the oscillating-rotating power brush technology is the one most recommended by dentists worldwide. Over 150 clinical investigations demonstrate the efficacy and safety of the oscillating-rotating technology, and a large systematic review of published clinical trial literature by the Cochrane Collaboration concluded that only this class of power toothbrush was proven more effective than manual brushes for plaque and gingivitis reduction.6 An extensive independent review has also concluded that oscillating-rotating power toothbrushes have been shown to be as gentle on teeth and gums as a manual toothbrush.43 Numerous, interchangeable brush head options are available for customization to patients needs and preferences. Clinical studies and surveys have found increased levels of patient compliance and/or nearly all participants intending to continue with usage of oscillating-rotating brushes.8,48

Multi-directional brushes. A novel power toothbrush with a triple-zone, multi-directional cleaning technology is a new entry to the power toothbrush field, and has documented plaque and gingivitis reduction effectiveness. This brush was designed for patients who prefer a manual-like brushing experience, but still want better cleaning results than a regular manual or a leading sonic power technology.

Sonic brushes. Sonic toothbrushes are widely available, and there is recent clinical research to support the effectiveness of sonic power technology in plaque, gingivitis, and stain reduction.23,24,32 Clinical research has demonstrated an increased level of compliance relative to a manual toothbrush with use of a sonic brush.46 Brush head options are available. Some patients favor the manual-like brush heads and sensorial experience of a sonic power toothbrush.

Counter/rotational; circular/rotary; other (ionic, ultrasonic, etc.) brushes. Limited selection. Supporting research is older and/or limited. Some patients may favor the mode of action/feel of these brushes.

Battery-powered. Battery-powered brushes represent the lowest end of the cost spectrum, and as such may be valued by those seeking a budget-friendly power brush option, or who want to test the waters with power toothbrushes with a minimal cost investment. These brushes are highly portable. Clinical research has established that some brands outperform manual toothbrushes in plaque reduction and gingivitis reduction.

Patient Brushing Instruction

When teaching any new oral hygiene skill, the dental professional must assess the patient's knowledge, attitudes, values and psychomotor skills. The patient's particular situation, such as their socio-economic status and stress levels also should be assessed. Establishment of new oral hygiene practices are dependent on active participation of the patient. Dental professional instruction given directly with the patient is the best because it allows for immediate feedback. Self-instructional materials can also be used by patients at home in addition to face-to-face instruction. The patient should be involved in the instructional process.50 One great way to facilitate patient involvement and compliance is with self-evaluation. For example: patients can use disclosing tablets after brushing to show the areas that need more attention.

One advantage of power toothbrushes is that the patient only has to focus on the placement of the brush, not the brushing action; therefore the power toothbrush supports a more effective plaque removal versus a manual tooth brush. It is imperative that the dental professional review the manufacturer's instructions due to the vast number of designs available. Note the manufacturer's suggestions for use and care of the brush.

Some electric toothbrushes like oscillating-rotating toothbrushes with remote displays also coach the patient to brush more thoroughly, longer, and without applying too much pressure.

General instructions for power toothbrushes include selecting a brush with soft, end-rounded filaments and a dentifrice within the accepted RDA range (<250 ADA recommended limit). Instruct the patient to spread the dentifrice over several teeth before starting to brush to prevent splashing of the dentifrice when the brush is turned on. Not turning the power brush on until the brush is in the oral cavity also reduces the spattering of toothpaste. The patient should vary the brush position to reach each tooth surface, including the distal, facial, mesial and lingual surfaces. The angulation may need to be altered for access to malpositioned teeth. Be sure to instruct the patient to "feel" the toothbrush on all surfaces of the teeth. After awhile this will become second nature and the patient will not have to think about it. For brushing the occlusal surfaces, place the toothbrush with filaments pointing into the occlusal pits at a right angle. The patient can move the brush head in a slight circular motion while the filaments are in the occlusal pits or can press moderately (not bending the bristles) so the filaments go straight into the pits and fissures. The strokes for the occlusal surfaces are sharp and quick. The toothbrush should be lifted after each stroke to dislodge any loosened debris.

Tongue cleaning can also be done with a power toothbrush, and is important because it retards plaque formation and total plaque accumulation. Some toothbrushes have specific brush heads designed for tongue cleaning. With the tongue extruded, the brush head should be placed at a right angle to the midline of the tongue with the bristles pointing toward the throat. With light pressure, the sides of the filaments are drawn forward toward the tip of the tongue. This procedure should be repeated 3-4 times until the tongue surface is clean.51

Summary

Patients are more educated and asking more questions about their dental health. Dental professionals today can be overwhelmed by the number and variety of toothbrushes regularly surfacing on the market and the many differing technologies. All of these advances oblige dental professionals to seek information that will enable them to make the best product recommendations to patients based on proven clinical effectiveness and gentleness, their own clinical experience, and patient preferences. For the clinician who values a definitive body of peer-reviewed research (including independent systematic reviews) demonstrating clinically superior effectiveness in plaque and gingivitis reduction and confirmed safety, the oscillating-rotating mode of power toothbrushes is a clear choice. These brushes have also been shown to have high patient acceptability and boost compliance; oral hygiene compliance being the ultimate goal for achieving optimal oral health through the partnership between the patient and the dental professional.

Glossary

Abrasivity - describes a material of various particle size and hardness.

CINAHL - a database for nursing and allied health literature.

Cochrane Collaboration - an organization that aims to help people make well-informed decisions about healthcare by preparing, maintaining and promoting the accessibility of systematic reviews of the effects of healthcare interventions.

Dentifrice - another name for a tooth gel, paste or powder.

Editorial boards - a group of people who are experts in their field who review articles prior to publication.

EMBASE - a database providing rapid access to the world's biomedical and drug literature.

Evidence - the data on which a conclusion or judgment may be based; proof.

Gingival abrasion - trauma to the gingival tissue which frequently occurs on the facial surfaces.

Gingival index- used to assess the severity of gingivitis based on color, consistency, and bleeding on probing

Gingival recession - reduction of the height of the marginal gingiva to a location apical to the cementoenamel junction, resulting in root surface exposure.

Gingivitis - inflammation of the gingival tissue with no apical migration of the junctional epithelium beyond the cementoenamel junction.

Host defense - a person's immune response to invasion by pathogens or to treatment.

MEDLINE - a comprehensive database of life sciences and biomedical bibliographic information.

Pathogenic products - products that can cause disease (such as specific bacteria).

Periodontal disease - inflammatory disease of the periodontium that results from the progression of gingivitis and is caused by specific microorganisms.

Supragingival plaque - plaque located above the gingival margin.

Subgingival plaque - plaque located below the gingival margin.

Systemic disease - a disease that affects an entire organism or bodily system.

Systematic review - a rigorous method of reviewing original research to synthesize results, which results in a summary of the best evidence on a specific topic.

Tongue cleaning - the removal of debris and bacteria from the tongue.

Toothbrush abrasion - a pathologic wearing down of the tooth as a result of improper toothbrush use.

References

1. Alexander JF. "Toothbrushes and Toothbrushing", in Menaker, L., ed.: The Biologic Basis of Dental Caries. Hagerstown, MD: Harper & Row, 1980, pp. 482-496.

2. Fischman SL. "Oral hygiene products: How far have we come in 6000 years?" Periodontology 2000. 1997;15:7-14.

3. Maes L, Vereecken C, Vanobbergen J, Honkala S. Tooth brushing and social characteristics of families in 32 countries. Int Dent J. 2006;56(3):159-167.

4. Van der Weijden F, Danser MW. Toothbrushes: benefits versus effects on hard and soft tissues. In: Addy M, Embery G, Edgar M, Orchardson R, eds. Tooth Wear and Sensitivity: Clinical Advances in Restorative Dentistry. London: Martin Dunitz; 2000.

5. Warren PR, Chater B. The role of the electric toothbrush in the control of plaque and gingivitis: a review of 5 years clinical experience with the Braun Oral-B Plaque Remover [D7]. Am J Dent.1996;9 Spec No:S5-11.

6. Robinson PG, Deacon SA, Deery C, Heanue M, Walmsley AD, Worthington HV, Glenny AM, Shaw WC. Manual versus powered toothbrushing for oral health. Cochrane Database Syst Rev. 2005 Apr 18;(2):CD002281.

7. Warren PR. Development of an oscillating-rotating pulsating toothbrush: The Oral-B ProfessionalCare Series. J Dent. 2005:33 Supp 1:1-9.

8. Walters PA, Cugini M, Biesbrock AR, Warren PR. A novel oscillating-rotating power toothbrush with SmartGuide: designed for enhanced performance and compliance. J Contemp Dent Pract.2007;8:1-9.

9. Black C, Hall S, Headstrom P, Kloster T, Kotlarchik G, Kulas A, Lumbantobing A, Miller K, Wills S. A new generation of Sonicare power toothbrushes - The FlexCare series. Compend Contin Educ Dent.2007;28(suppl 1):4-9.

10. Beaglehole R, Benzian H, Crail J, Mackay J, King J, Lacey C (ed), Wyse E (ed). The Oral Health Atlas: mapping a neglected global health issue. Dental Education Ltd & Myriad Editions, 1 edition, 2009;27.

11. Garmyn P, van Steenberghe D, Quirynen. "Efficacy of Plaque Control in the Maintenance of Gingival Health: Plaque Control in Primary and Secondary Prevention." In: Lang NP, Attstrom R, Loe H (eds.). Proceedings of the European Workshop on Mechanical Plaque Control. Berlin: Quintessence Verlag, 1998, pp. 107-120.

12. Löe H, Theilade E, Jensen SB. Experimental gingivitis in man. J Periodontol. 1965;36:177-187.

13. Theilade E, Wright WH, Jensen SB, Löe H. Experimental gingivitis in man II. A longitudinal and bacteriological investigation. J Periodont Res. 1966;1:1-13.

14. Page RC. The etiology and pathogenesis of periodontitis. Compend Contin Educ Dent. 2002;23(suppl 5):11-14.

15. Cancro LP, Fischman SL. The expected effect on oral health of dental plaque control through mechanical removal. Periodontol 2000 1995;8:60-74.

16. McCracken G, Janssen J, Heasman L, Stacey F, Steen N, deJager M, Heasman P.. Assessing adherence with toothbrushing instructions using a data logger toothbrush. Br Dent J. 2005;198:29-32.

17. Tedesco LA. Behavioral research related to oral hygiene practices: a new century model of oral health promotion. Periodontol 2000. 1995;8:15-23.

18. Stålnacke K, Söderfeldt B, Sjödin B. Compliance in use of electric toothbrushes. Acta Odontol Scand. 1995;53:17-19.

19. Hellstadius K, Asman B, Gustafsson A. Improved maintenance of plaque control by electrical toothbrushing in periodontitis patients with low compliance. J Clin Periodontol. 1993;20:235-237.

20. Frandsen A. "Mechanical oral hygiene practices." In: Loe H, Kleinman D V. (eds) Dental Plaque Control Measures and Oral Hygiene Practices. Oxford: IRL Press, 1986, pp. 93-116.

21. Van der Weijden GA, Timmerman MF, Danser MM, et al . "The role of electric toothbrushes: advantages and limitations." In: Lang NP, Attstrom R, Loe H (eds.). Proceedings of the European Workshop on Mechanical Plaque Control. Berlin: Quintessence Verlag, 1998, pp. 138-155.

22. Klukowska M, Sharma N, Qaqish J, Grender JM, Rooney JE, Hoke JD, Cunningham P. Gingivitis reduction from a power toothbrush with novel brush head. J Dent Res. (AADR/IADR) 2010;89 (Spec Iss B): Abstract 3695.

23. Biesbrock AR, Walters PA, Bartizek RD, Goyal CR, Qaqish JG. Plaque removal efficacy of an advanced rotation-oscillation power toothbrush versus a new sonic toothbrush. Am J Dent. 2008;21:185-188.

24. Farrell S, Grender JM, Rooney JE, Biesbrock AR, Goyal CR, Qaquish J. Gingivitis reduction following 4-week use of three sonic rechargeable toothbrushes. J Dent Res. 2010;89(Spec Iss B): Abstract 1717.

25. Deacon SA, Glenny AM, Deery C, Robinson PG, Heanue M, Walmsley AD, Shaw WC. Different powered toothbrushes for plaque control and gingival health. Cochrane Database of Systematic Reviews. 2010, Issue 12. Art. No.: CD004971. DOI:10.1002/14651858.CD004971.pub2.

26. Klukowska M, Goyal CR, Grender J, Cunningham P, Qaqish J, Biesbrock AR. Comparative anti-gingivitis efficacy of oscillation-rotation and sonic power toothbrush. J Dent Res. 2012; 91 (Spec Iss C) 168243.

27. Mielczarek A, Klukowska M, Kaiser E, Stoerkel U, Mandl C, Walters PA, Warren PR. A novel power toothbrush with multi-directional, triple zone cleaning technology. Am J Dent. 2012;25 Sp Is A:3A-9A).

28. Sharma NC, Galustians HJ, Qaqish J, Cugini M. Safety and plaque removal efficacy of a battery-powered power toothbrush and a manual toothbrush. Am J Dent. 2001;14:9B-12B.

29. Putt M, Milleman JL, Davidson KR, Cugini M, Warren PR. A 3-month clinical comparison of the safety and efficacy of two battery-operated toothbrushes: The Braun Oral-B D4 and the Colgate Actibrush. Am J Dent. 2001;14:13B-17B.

30. Biesbrock AR, Bayuk LM, Yates DS, Santana MV, Bartizek RD. The clinical effectiveness of a novel power toothbrush and its impact on oral health. J Contemp Dent Pract. 2002;3(2):1-10.

31. Terezhalmy GT, Walters PA, Bartizek RD, Grender JM, Biesbrock AR. A clinical evaluation of extrinsic stain removal: a rotation-oscillation power toothbrush versus a dental prophylaxis. J Contemp Dent Pract. 2008;9(5):1-8.

32. Terezhalmy GT, He T, Walters PA, Grender JM, Biesbrock AR. Clinical assessment of extrinsic stain removal with a new Pulsonic toothbrush. J Clin Dent. 2009;20(3):71-74.

33. Sharma NC, Galustians HJ, Qaqish J, Cugini M, Warren PR. The effect of two power toothbrushes on calculus and stain formation. Am J Dent. 2002;15(2):71-76.

34. Addy M, Hunter ML. Can tooth brushing damage your health? Effects on oral and dental tissues. Int Dent J. 2003;53 Suppl 3:177-86.

35. Bartlett DW, Shah P. A critical review of non-carious cervical (wear) lesions and the role of abfraction, erosion, and abrasion. J Dent Res. 2006;85:306-312.

36. Darby ML, Walsh MM. Dental Hygiene Theory and Practice. 2nd Ed. St. Louis: Saunders Inc., 2003;1135,1156.

37. Van der Weijden GA, Timmerman MF, Reijerse E, Snoek CM, van der Velden U. Toothbrushing force in relation to plaque removal. J Clin Periodontol. 1996 23(8):724-729.

38. Dentino AR, RL Van Swol, GM Derderian, MR Wolf, PR Warren, "Comparative Evaluation of the Safety of a Powered vs. a Manual Toothbrush Over One Year." Amer. Acad. Perio Ann Meeting Abstract #208, 1998.

39. Danser MM, Timmerman MF, IJzerman Y, Bulthuis H, van der Velden U, van der Weijden GA. Evaluation of the incidence of gingival abrasion as a result of toothbrushing. J Clin Periodontol. 1998 25(9):701-706.

40. Dorfer CE. Tooth abrasion by manual and oscillating-rotating power toothbrushes [628]. J Dent Res. (AADR/IADR) 2008;87(Spec Iss B): Abstract 2045.

41. Dorfer CE, Joerss D, Rau P, Wolff D. 12-Months Effect of an oscillating-rotating power toothbrush on recession. J Dent Res. 2005; 84 (Spec Iss B): Abstract 632.

42. Dorfer CE, Joerss D, Wolff D. A prospective clinical study to evaluate the effect of manual and power toothbrushes on pre-existing gingival recessions. J Contemp Dent Pract. 2009;1;10(4):1-8.

43. Van der Weijden GA et al . Safety of oscillating-rotating powered brushes compared to manual brushes: A systematic review. J Periodontol. 2011;82:5-24.

44. Philips Sonicare ‘gentleness' references from file retrieved October 10, 2012 from http://www.sonicare.com/professional/en_US/ClinicalStudies/Default.aspx?link_origin=us_en_HC%3Asonicare%3Adental-professionals%3Ahomepage_middle-panel.

45. Beals D, Ngo T, Feng Y, Cook D, Grau DG, Weber DA. Development and laboratory evaluation of a new toothbrush head with a novel brush head design. Am J Dent. 2000;13:(Special Issue), 5A-14A.

46. Milleman, K, Putt M, Master A, Jenkins W, Souza S, Sturm D. Comparison of brushing compliance with Sonicare Xtreme e3000 Series versus a manual toothbrush in preteens and. Brushing Duration of Manual Versus Sonic Toothbrushes in Preteens/Teens. J Dent Res. 2006;85 (spec Iss B):1306.

47. Stalnacke K, Soderfeldt B, Sjodin B. Compliance in use of electric toothbrushes. Acta Odontol Scand. 1995;53(1):17-9.

48. Warren PR, Ray TS, Cugini M, Chater BV. A practice-based study of a power toothbrush: assessment of effectiveness and acceptance. J Am Dent Assoc. 2000;131(3):389-394.

49. Cochrane Handbook for Systematic Reviews of Interventions (formerly the Reviewers' Handbook). Clarke M, Oxman A. (editors) (4.2.0 updated March 2003). The Cochrane Library [Issue 2]. 4-30-2003.

50. Renvert S, Glavind L. "Individualized Instruction and Compliance in Oral Hygiene Practices: Recommendations and Means of Delivery." In: Lang NP, Attstrom R, Loe H (eds.). Proceedings of the European Workshop on Mechanical Plaque Control, Berlin: Quintessence Verlag, 1998, pp. 107-120.

51. Ray TS. Oral Infection Control:Toothbrushes and Toothbrushing, in Wilkins, E.M.: Clinical Practice of the Dental Hygienist. 9th ed. Philadelphia, Lippincott Williams & Wilkins, 2004.

Additional Readings

• Bowen D. An evidence-based review of power toothbrushes. Comp Cont Ed Oral Hygiene. Vol. 9, No. 1. 2002.

• Bowen D, Forrest J. Solving Puzzling Clinical Questions. RDH. May (2003): 34, 36, 38, 40, 100.

• Haffajee AD, Arguello EI, Ximenez-Fyvie LA, Socransky SS. Controlling the plaque biofilm. Int Dent J. 2003;53 Suppl 3:191-9.

• Proceedings of the European Workshop on Mechanical Plaque Control. Lang NP, Attstrom R, Loe H. Switzerland: Quintessence.1998. Internet link, July 2006.

• Slots J. Update on general health risk of periodontal disease. Int Dent J. 2003;53 Suppl 3:200-7.

• Sharma NC, Galustians HJ, Qaqish J, Cugini M. Safety and plaque removal efficacy of a battery-operated power toothbrush and a manual toothbrush. Am J Dent. 2001;14 Spec No:9B-12B.

• Van der Weijden GA, Timmerman MF, Piscaer M, IJzerman Y, van der Velden U. A clinical comparison of three powered toothbrushes. J Clin Periodontol. 2002; 29(11):1042-7.

• Warren PR, Cugini M, Marks P, King DW. Safety, efficacy and acceptability of a new power toothbrush: a 3-month comparative clinical investigation. Am J Dent. 2001;14(1):3-7.

About the Authors

Ginger B. Mann, BSDH, MS
Ms. Mann was a clinical associate professor at the UNC School of Dentistry at Chapel Hill for ten years. She graduated from Old Dominion University in 1991 with a Master's Degree in Dental Hygiene Education. During her ten years at UNC she was responsible for teaching numerous courses, including Dental Health Education and Clinical Coordinator for second year dental hygiene students. Ms. Mann has received numerous teaching excellence awards. She is a published author and presents continuing education courses. Currently she is the project coordinator for numerous community projects focusing on preschool aged children. Ms. Mann is also a part-time clinical instructor at Wake Technical Community College and an adjunct faculty at the UNC School of Dentistry at Chapel Hill.

Bettina Wick-Urban, MS, PhD
Dr. Wick-Urban is the Global Scientific Information Manager in Oral Care for Brushing and Interdental Cleaning at Procter & Gamble. She graduated from Albert-Ludwig-University in Freiburg in 1992 with a Master's Degree in Pharmacy and obtained a PhD degree in experimental cancer therapy in 1996. In 2006, she also obtained a journalism degree. Dr. Wick-Urban joined Procter & Gamble in 1999 and has held various European and global scientific communication positions in Pharmaceutical and Oral Care. She has published numerous original research articles and reviews.

The writers of the course want to acknowledge the expertise of Shelly Campbell for her medical writing assistance.

Figure 1 – Timeline of Highlights in Power Toothbrush Development

Figure 1

Figure 2 – Early mechanical toothbrushes used in the 19th century. Image presented with permission from Dr. Fridus van der Weijden

Figure 2

Figure 3 – Progression of Oral-B Power Oscillating-Rotating Toothbrush Technologies

Figure 3

Figure 4 – Sonic Toothbrush Technologies

Figure 4

Figure 5 – Tri-Zone/Deep Sweep Multi-Directional Cleaning Technology

Figure 5

Figure 6 – Rotation-Oscillation-Pulsating Action

Figure 6

Table A

Table A

Figure 7

Figure 7

Figure 8

Figure 8

Figure 9 – Power Brush Bristles Disrupting Plaque. Image presented with permission from Dr. John Thomas and Oral-B

Figure 9

Figure 10 – Toothbrush Abrasion

Figure 10

Figure 11 – Gingival Recession

Figure 11

Figure 12

Figure 12

Table B - Web-Based Information Resources

Table B

CREDITS: 0
AGD CODE: 130 - Electives
COST: $0
PROVIDER: American Dental Assistants Association
SOURCE: American Dental Assistants Association | June 2020

Learning Objectives:

  • Discuss the history of the power toothbrush.
  • Understand the different electric toothbrush technologies.
  • Describe the clinical significance of plaque.
  • Detail the power toothbrush’s effect on plaque, gingivitis, calculus and stain.
  • Discuss the oral safety considerations of power toothbrushes.
  • Describe the basis for professional recommendation of electric toothbrushes.
  • Summarize research presented on patient compliance with brushing recommendations.
  • Instruct patients on the use of power toothbrushes.

Disclosures:

The author reports no conflicts of interest associated with this work.

Queries for the author may be directed to justin.romano@broadcastmed.com.