Enhancing the Success of a Dental Practice Through Patient Satisfaction

Tina Calloway, CDA; and Linda Zdanowicz, CDA, CDPMA

September 2020 Course - Expires Sunday, December 31st, 2023

American Dental Assistants Association

Abstract

Turbulent times in the economy increase the need for growth in a dental practice. As experienced caregivers, it is increasingly important to serve our community with excellence, education, and quality. After all, it is the community that supports the dental practice with each visit. Should the public expect anything less than a dental team’s best efforts?

You must be signed in to read the rest of this article.

Login Sign Up

Registration on CDEWorld is free. You may also login to CDEWorld with your DentalAegis.com account.

Introduction

Turbulent times in the economy increase the need for growth in a dental practice. As experienced caregivers, it is increasingly important to serve our community with excellence, education, and quality. After all, it is the community that supports the dental practice with each visit. Should the public expect anything less than a dental team's best efforts?

0-3-11 Rule to Measure Success

For the past 25 years, Jameson Advisors has been teaching their clients how the quality of care affects the expectations of a patient. Studies have focused on how the dental professional meets, exceeds or fails the expectations of a patient, and what effect that can have on the practice. For example, there is the 0-3-11 rule by Dr. Ken Blanchard. If the practice has met the patient's expectations, they will tell (0) people. When the practice has exceeded the patient's expectations, they will tell (3) people about their wonderful experience. When the practice has not met the patient's expectations, they will share their inadequate experience with at least (11) people. If thought of in the context of numbers, this can directly relate to the number of referrals the practice could have gained or lost through the year. If a practice saw 14 new patients a month, that would equal 168 new patients over the span on one year. If 168 patients had their expectations met that would equal no 0 referrals, but no loss of patients. If 168 patients received treatment and service that exceeded their expectations, this would equal a potential 504 referrals. However, if 168 patients receive treatment that does not meet expectations, this could lead to 1,848 possible referrals lost, plus the loss of the new patients! These numbers are profound and provide the dental team a numerical image of what is at stake and the importance of providing excellence for our patients from the Patient Care Coordinator (PCC) to the clinical team.

As discussed in the ADAA E-Learning course 1320, "Patient Care Coordinator: Are You Ready for the Challenge?" there is a great deal emphasized on communications skills. Though not everyone is a great communicator, a person can learn to be an effective communicator through textbooks, audio CD's and educational courses, and practice. Mark E. Hyman, DDS, states, "Many patients receiving medical and dental care have reported that they simply are not being heard. Practicing listening skills and reflectively repeating the questions as they are asked by the patient would be a welcome melody to their ears." A PCC gathers a wealth of information that can be utilized by the clinical team to provide an excellent experience, resulting in exceeding the patient's expectations.

This course will address the following topics in a clinical case format:

• The value of the PCC to the clinical team

• Team communication in case planning

• Clinical assisting leadership

• Cosmetic case organization

• Knowledge in dental science and materials

• Shade selection and techniques

• Quality assurance

Value of the Patient Care Coordinator

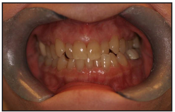
When a patient has been a part of a dental practice for some time, the patient may express interest in new goals for their smile. In this particular case, the patient asked if there was technology available to show her what the possibilities would be for a new, white smile. The patient expressed to the PCC that she has a book signing coming up for a recently published, fictional novel. The patient also explained that the villain in her book is described as having yellow, scraggly teeth, and when she looks in the mirror, she sees herself as that villain (see Figure 1 and Figure 2). After listening closely, the PCC discussed smile simulation technology. Smile simulation technology software allows the patient to see the possibilities available to them in cosmetic design before any treatment is completed. When using this technology, a digital image of the patient is obtained and downloaded into the software. Then a library of different smiles is superimposed and viewed using the patient's image. This approach helps a patient visualize the end result and take ownership in the chosen outcome.

After explaining the procedure, the PCC obtained the necessary initial impressions and digital camera images to create the smile simulation (see Figure 3). When the patient returned at the next appointment for a consult to view the simulation, her surprised response was "what did you do to the appearance of my eyes, I look much younger." The PCC explained how a beautiful smile can enhance one's entire appearance. The dentist and PCC then presented the treatment plan and answered questions. Care was taken to not guarantee results. It was explained the image shown is a possible outcome, not a guarantee.

After receiving the treatment plan and discussing finances with the PCC, the patient was ready to proceed with scheduling an appointment for her treatment. The first phase of treatment prescribed was to place porcelain crowns from second premolar to second premolar on the maxillary arch (Universal tooth numbers 4-13). After publishing the sequel to her novel, she planned to schedule the second phase of the treatment plan which was to do the same on the mandibular arch. The PCC spent time to make sure the patient knew what to expect on the dates of treatment. This step added to the aspect of service and exceeded the patient's expectations. The role of the PCC during this process enhanced the success of not only this treatment plan acceptance, but also in future treatment plans.

Team Communication in Case Planning

Following the consultation for this esthetic case, the PCC, dentist, and clinical assisting team met to discuss case planning, the goals of the team, and the patient's expectations. Case planning insured the direction of the team and treatment plan expectations. During this time, the PCC also shared the patient's likes and dislikes, anxieties, and health history. The PCC carefully provided the clinical team with all necessary radiographs, study models, wax ups, and digital photo images, including the smile simulation. By providing a smile simulation to the team, the clinical team gained a clear understanding of the patient's visual expectations. The dentist then discussed the treatment planning thoughts, preparations, and specific requests with the assisting team. Two assistants were assigned to this case, each having specific and detailed responsibilities. Thoroughly informed with this case, the assistants were able to organize their duties in preparation for the procedure. Many clinical assisting professionals who have excelled in leadership also understand the value in designating and sharing tasks based on an individual gifts and talents. For example, one dental assistant may have the gift of organizing and computing, where another may have a gift in restorative artistry and patient communication.

Team meetings that focus on clinical treatment enhance communication between the team and eliminate possible confusion. Although clinical assistants are capable of completing all of these tasks, true clinical assisting leaders enjoy capitalizing on their teams' individual gifts to ensure a successful case and to exceed the patient's expectations.

Assisting Leadership

The phrase "I am just the dental assistant" no longer applies to today's professional clinical and business assistants of the 21st Century. Dental assistants require proficiency and knowledge in dental sciences and must have excellent communication skills. The most effective assistants also possess leadership qualities.

Proficiency and knowledge in dental sciences

In today's most successful dental practices, proficient skills at chairside are a necessity. As part of the clinical team, dental assistants are required to show proficiency in a variety of duties needed to gather diagnostic information for treatment planning. Competent dental assistants are certified to expose radiographs for diagnosis and treatment planning. Each must be knowledgeable about the restorative appointment prescribed by the dentist and understand the sequencing of the appointments. Each must understand the use and manipulation of the dental materials to be used in restorative treatment. Transferring instruments efficiently and knowledge of the operation of the chairside dental equipment are all part of a positive dental appointment for the patient and dental team.

Excellence in communication

An assistant with excellent communication skills should have the capability to recognize the various patient communication styles. By recognizing how a patient best communicates, it provides the opportunity to properly communicate with the patient about treatment and instructions for aftercare. As described in the DISC personality profile, D reflects a dominant personality, I will present an influential style, S reveals a steady approach, and C represents a compliant personality type.

Patients with a dominant personality usually prefer quick, direct, and pointed information regarding diagnosis and treatment. An influential personality is said to be socially easygoing and usually requires little details regarding what is necessary in the treatment process. A steady personality does well in a structured, clearly informed environment and it is best not to hurry them into a decision concerning treatment. A cautious personality likes facts and details of the whole plan and tends to think more critically about the process, taking time to weigh their options.

Communicating based on the patient's personality style helps to create a successful appointment. The best way to analyze their communication style is by truly listening to the patient, focusing on their questions, and watching their responsive cues as you offer information regarding the many details of their personalized treatment.

Recognizing team strengths

It is important that each assistant has a leadership role and understands the value and role of each person included in the dental team. As stated earlier, recognizing the strengths of each team member offers quality service at every office visit. When each dental team member takes the initiative to use their special skills, the practice provides quality, due care, and simultaneously exceeds the patient's expectations. Working together in a harmonious environment makes a pleasing visit for everyone involved. Skilled leadership involves motivating others to provide exceptional care.

Cosmetic Case Organization

Preparing for provisional coverage

For cosmetic case organization, it is important to coordinate the dates of treatment to ensure proper and timely organization between the clinical team and dental laboratories. At the direction of the dentist, the dental assistant may place a special standing order with a local or custom laboratory that fabricates provisionals, or a matrix from the dental wax-up to fabricate a provisional. The decision can also be made to construct a provisional or provisional matrix, in house by the experienced, skilled expanded functions dental assistant.

Several materials can be utilized to make a matrix, whether it be an alginate of the wax-up, a plastic shim made from a duplicate of the wax-up, or a poly-vinyl siloxane impression of the existing teeth.

However the dentist chooses to make a provisional, it is good to establish a relationship with several dental laboratories that can meet the needs of the practice. Some dentists find it worthwhile to work very closely with their dental laboratory technicians (DLT) as they also play a major role as auxiliary dental team members. The clinical or business assistant may schedule a time for the DLT to meet with the dental team to discuss case details, the fabrication of the provisional, and to point out additional thoughts to help the case be a success.

Shade selection and technique

In this case study, the patient was seeking a brighter, whiter smile and a treatment plan was created around this criteria. Clinical assistants must take into consideration the requests made by the patients and ask themselves, "What does obtaining a white smile mean to them?" Choosing the most complimentary restorative shades will lead to increased patient satisfaction (see Figure 4).

Here are a few tips and tricks by Vident to help clinical assistants choose a shade or mixture of shades to enhance the patient's smile.

• A shade should be obtained before tooth preparation(s). Due to hydration, the tooth shade can appear too white after a preparation.

• Tooth shades should be determined in natural daylight or under standardized daylight lamps.

• Eyes tire after 5-7 seconds; make a swift selection and stick with the first selection.

• It is important to use a Stumpf shade guide, if you are placing all-porcelain crowns. The Stumpf shade adds color to the final restoration. If this shading is not taken into consideration, this could either darken or lighten the porcelain on the final restoration.

• Digital technology is also available to obtain a shade. When this handheld device is placed on the patient's tooth, a digital suggestion is given. This allows the assistant to record an instant reading of the value, hue, and chroma of an existing tooth.

Operatory preparation

As the operatory is prepared for the patient's appointment, an instrument and equipment checklist can be important to the success of the procedure. A procedure preparation list can be specific to each procedure performed and according to the dentist and the clinical assistant's preferences (see Figure 5).

Dental bur organization

Bur organization is vital to the procedure and each assistant should know the preferences of the dentist for every procedure. There are many burs to choose from that can reduce the preparation and finishing times. Each dentist has their favorite burs which are expected to be placed in the handpiece ready for use. It is important that the assistant is up-to-date on the newest clinical burs that may provide excellent efficiency, precise cut, and contour. In this specific case, a crown-prepping, carbide bur is specifically used for smooth depth cutting and lasts two times as long as a #245 carbide bur. Two of each preferred bur will be placed in a bur case helping to reduce the patient treatment time.

Hand instruments

As with bur selection, the dentist will also have preferred hand instruments used in the preparative and restorative portions of procedures. Each tray set up should be organized according to order of use. Trays are often divided into sections containing the basic set up, the preparative, the restorative, and the accessory instruments. Keeping the tray organized maintains efficiency throughout the procedure.

Basic Set Up - mirror, explorer, cotton pliers

Preparative - choices include the excavator, hoe, hatchet, and chisel

Restorative - choice include the condenser, carvers, burnisher, composite instruments

Accessory - spatulas, scissors, pliers, amalgam well or dappen dish, mixing pads, gauze, applicator brushes, etc.

In the case of this cosmetic crown procedure several accessory instruments need to be available along with cotton rolls and gingival retraction materials.

Knowledge in Dental Materials

As technology advances, knowledge in dental science and materials will be crucial to the success of the restorative and esthetic cases. The dental materials used in this case study would call for a prefabricated post system, a core build up material, an etching and bond system, a desensitizer, and a dual cure resin cement. Each of these materials must be used and handled according to manufacturer's instructions. The dental team must always be familiar with and understand the current instructions for each product used in patient treatment.

For instance the instructions to place the etchant and bond singles are as follows:

• Squeeze lower end of single packet to mix the components together

• Once the foil packet is opened, continue to mix the components with a microbrush to avoid chemical separation

• Apply the etchant to the tooth, brushing the material on the tooth for 30 seconds

• Lightly air dry for 5 seconds to evaporate excess etchant

• Light cure for 20 seconds

The purpose for the etch and bond singles pack is to always have fresh chemistry available for the procedure. According to dental supply representative Victoria Wallace, CDA, LDA, "Fresh chemistry is a must; there is nothing worse than working with expired material or primers that have been over exposed to oxygen which has then evaporated all the carriers in the prime/bond solution. If this occurs, the final hybrid layer may be compromised which will affect the integrity of your restoration."

Additional knowledge and skills when manipulating gingival retraction and impression materials are critical to a properly fitting final product. Mastering the technique to properly pack gingival cord will lead to less patient discomfort, easier healing, and optimum retraction for the final crown impression.

Elastomeric impression materials are most often used for a final impression due to their accurate detail. The dental assistant must have the skills to accurately extrude the material into the proper type of impression tray. Easy, coordinated transfers will aid the dentist in fast and accurate care for the patient (see Figure 6).

Knowledge and proper mixing of temporary and permanent cements ensure that the patient will maintain their restorations. The dental assistant must know the differences between glass ionomers, resins cements, zinc oxide-eugenol cement, polycarboxylate cement, and zinc phosphate cement. Every clinical situation has its own set of facts that influence the cement to be used. The dental assistant must be confident in mixing any one of these as directed.

Quality Assurance

In this presented case study, the patient's provisional crowns were made directly from a diagnostic wax up that was designed according to the approved smile simulation from the original patient consultation. When the dental assistant is sculpting the provisional, there are four areas of focus to be considered for quality assurance; occlusion, esthetics, phonetics, and function. These four areas determine the outcome of the final restorative case. The patient must be able to wear the provisional crown(s) for several weeks. If the patient is having difficulty with phonetics or is not pleased with the length of the teeth, this is the best time to determine if any modifications are needed. Once the dentist and patient are pleased with the four focal points, the dental assistant then takes an impression of the provisionals and to send on to the dental laboratory along with final impressions, bite registrations, and any digital images.

When the final crown work is ready to be seated, a pre-seat bitewing radiograph is taken to ensure that all margins are properly sealed. Once the dentist is pleased with all crowns and sealed margins, and the patient is happy with the esthetics and function, the crown(s) is permanently seated using the applicable and preferable cement of the dentist.

Summary

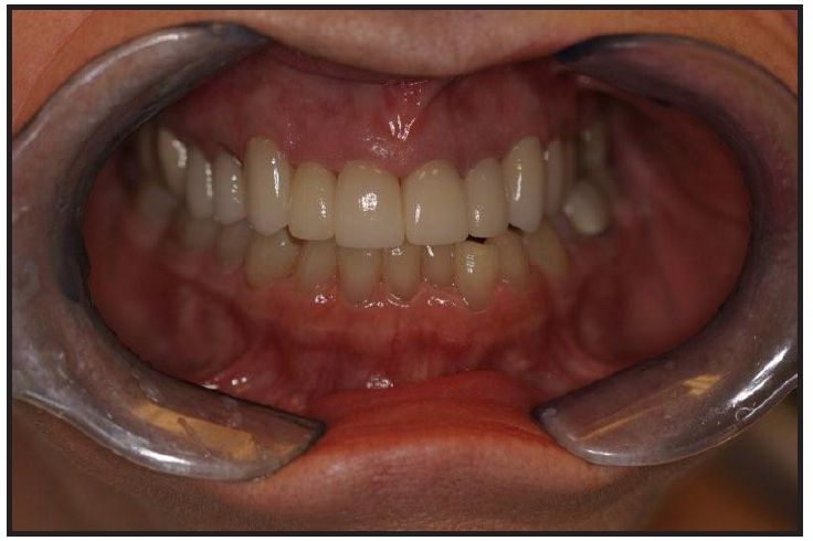
With careful treatment planning and communication, this case exceeded the expectations of the patient who was pleased to no longer consider herself to have a villainous smile (see Figure 7 and Figure 8). Listening to the patient's desires helps to map out a plan of action that will exceed the expectations of the patient and allows for the potential for referrals and future growth for the practice.

Glossary

Chroma - the strength or dominance of the hue.

Depth cutting - the thickness of material removed by one pass of the cutting tool.

DISC Personality Profile - stands for Dominant, Influential, Steadiness, Conscientiousness; DISC is a four-quadrant behavioral and personality profile assessment.

Hue - describing color: red, purple, blue, etc.

Hybrid layer - a layer that seals the exposed dentin and creates very high bonding strengths.

Matrix - a custom laboratory designed provisional impression.

PCC - Patient Care Coordinator.

Provisional(s) - a laboratory or chairside fabricated temporary crown or bridge.

Shim - a plastic tray made from the diagnostic wax up used in the aid of constructing provisional.

Smile simulation - a custom digitally enhanced smile sample.

Sonic handpiece - a sonic handpiece that assists the user for prepping tooth structure for crown placement.

Stump shade guide - dentin shade guide.

Value - the relative darkness or lightness of a color.

Wax-up - a process in which wax is applied to a model of the patient's teeth to simulate the procedure and results of planned reconstruction, repair, or enhancement.

References

"0-3-11 Rule"- Dr. Ken Blanchard

DISC Personality Profile - http://www.discinsights.com/disc.asp. Accessed September 10, 2011

http://medical-dictionary.thefreedictionary.com/diagnostic+wax-up. Accessed September 17, 2017

Jameson Advisors - http://www.jamesonmanagement.com. Accessed September 10, 2011

VIDENT 3-DMaster Shade Guide. http://vident.com/products/shade-management/vita-3d-master-shade-guide. Accessed September 10, 2011

Wallace, Victoria, Totally Bonding! Seminar (author attended)

Zdanowicz, L. (2008) Patient Care Coordinator: Are You Ready for the Challenge? ADAA Online Learning Course 1320.

Suggested Reading

Carnegie, Dale (Copyright renewed 2009) How to Win Friends and Influence People, Simon and Schuster, New York, NY.

Dental Bur Organization - Komet USA- www.kometusa.com

Tracy, Brian (2208) Speak to Win: How to present with power in any situation. AMACOM, New York, NY.

About the Authors

Tina Calloway, CDA

Tina Calloway is a Texas native, who served in the U.S. Navy in 1992 and received her dental assisting training in Marietta, GA. Now a North Carolina resident, she has worked in dentistry for fourteen years as a full-time dental assistant, served as President of the Piedmont Dental Assistant Society. Tina is a member of the North Carolina Dental Assistant Association and the American Dental Assistants Association. She is also an award-winning graduate of the Dale Carnegie Organization, an advisory board member of Dental Assisting Digest and "Inside Dental Assisting" magazines with published articles. She is a member of the Speaking Consulting Network, and AACD Team Advisory Council. Tina, a professional speaker and workshop leader has been a guest lecturer at Dental Conferences around the country.

Linda Zdanowicz, CDA, CDPMA

Linda Zdanowicz was born in Brooklyn, NY and has lived and worked in many areas of the Northeast and Southeast. She began working in dentistry in 1977, with a 14-year hiatus to raise 3 children. She is a contributor to Dental Practice Solutions magazine and has had articles published in Inside Dental Assisting, The Observer, and Dental Economics. Linda received the Journal Award from the American Dental Assistant's Association in 2010. She has been a lecturer at the Holiday Dental conference and the Florida National Dental Conference. Linda writes the Exceptional Dental Practice Management blog which can be found at http://dentalpracticemanagement.typepad.com. Linda is employed as the practice administrator and chairside assistant for Dr. Nigel Morgan, DDS in Hendersonville, NC.

Figure 1 – Initial Patient Photo

Figure 1

Figure 2 – Initial Photo Using Retractors

Figure 2

Figure 3 – Alginate Set up with Digital Imager

Figure 3

Figure 4 – Shade Guide with Wax up and Shim

Figure 4

Figure 5

Figure 5

Figure 6 – Impressions Set up

Figure 6

Figure 7 – Final Photo Using Retractors

Figure 7

Figure 8 – Final Patient Photo

Figure 8

CREDITS: 0
AGD CODE: 130 - Electives
COST: $0
PROVIDER: American Dental Assistants Association
SOURCE: American Dental Assistants Association | September 2020

Learning Objectives:

  • Explain the 0-3-11 rule of patient expectations.
  • Explain the role communication plays in case planning, acceptance, and patient satisfaction.
  • Discuss the value of a patient care coordinator the patient and the dental team.
  • Relate the role of the patient care coordinator throughout the span of treatment.
  • Explain the clinical assistant duties during treatment planning.
  • Organize cosmetic cases more efficiently.
  • Explain the importance of dental materials knowledge.
  • Demonstrate basic shade selection techniques.
  • Develop a better ability to assure quality care.

Disclosures:

The author reports no conflicts of interest associated with this work.

Queries for the author may be directed to justin.romano@broadcastmed.com.